調布の矯正歯科なら 調布・柴崎駅の歯医者

〒182-0007 東京都調布市菊野台1-20-39メゾン内田1F
京王線 柴崎駅北口より徒歩2分

診療時間
10:00~13:00 × ×
14:00~18:00 × ×

△:14:00~17:00 休診:水・日・祝

ご予約・お問合せはこちら

042-452-8548

空隙歯列(すきっ歯) 非抜歯矯正

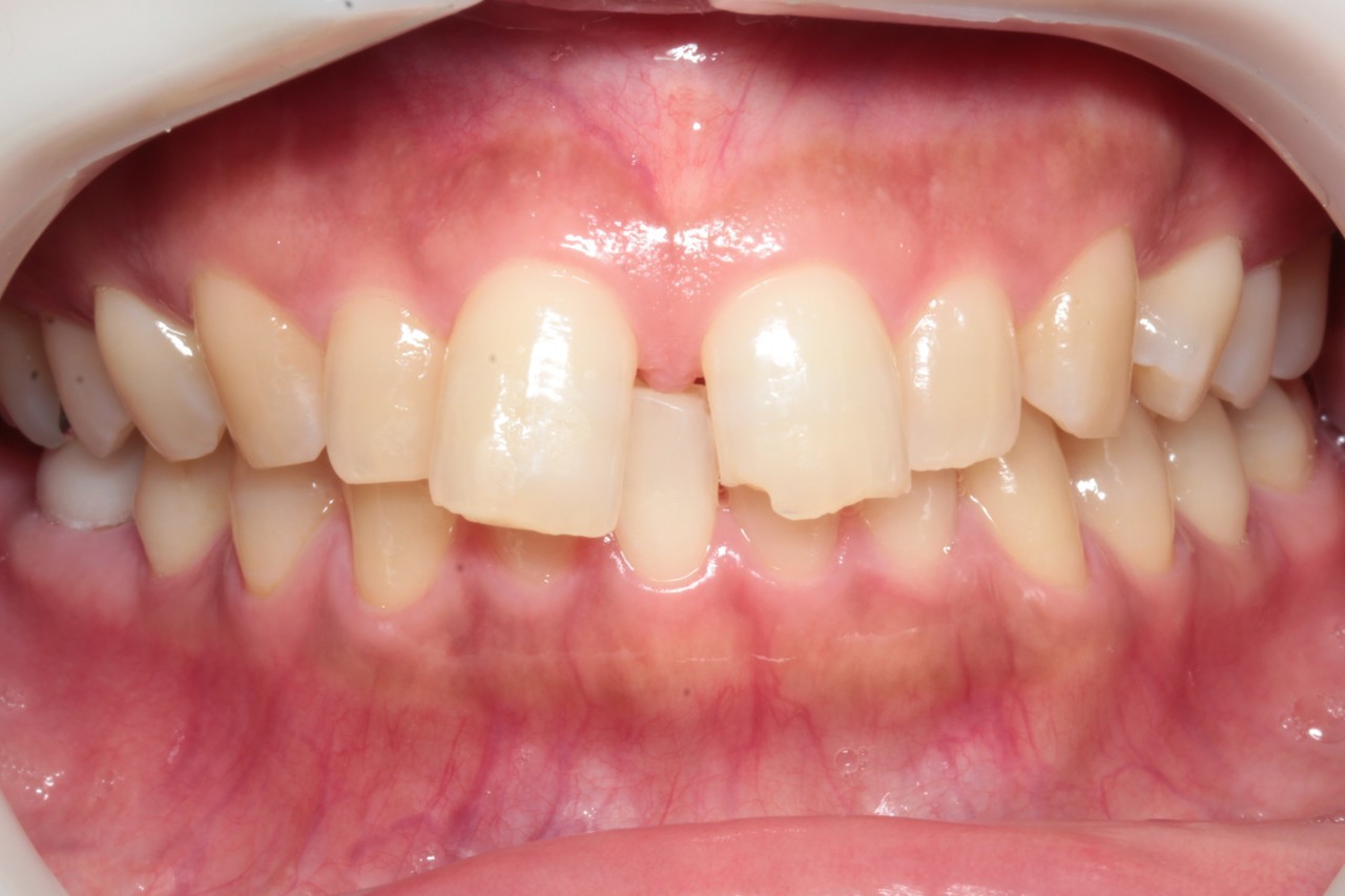
治療前

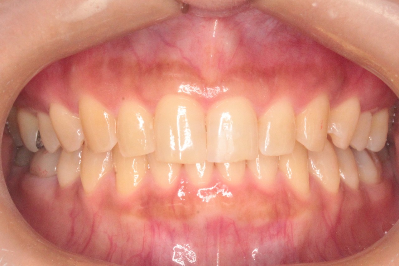
治療後

個人の症例です

治療結果/期間/費用には個人差あります

⇩治療計画(クリンチェック)動画⇩

『空隙歯列(くうげきしれつ)』は

歯間にすきまがある歯並びを指します

すきっ歯とよく言われる歯並びです

治療前後写真について

 調布市の30代女性

 主訴:歯と歯の間のすきまが気になる

 使用装置:インビザライン

 治療期間:約1.5年

 治療費用:93.5万円(税込)

 治療結果:空隙歯列が改善されました

※治療前の欠けている前歯は治療後に当院で修復しております

空隙歯列の治療は

通常非抜歯矯正で行います

一見するとすきまを閉じるだけで易しそうに見えるかと思います

単純にすきまを閉じようとすると

ほかにすきまが新たに生まれてしまうので

そこをどう処理するかがポイントとなります

①の症例よりも前歯の離開度合いが強く

更に前歯が下方に挺出(ていしゅつ:歯の飛び出しのこと)しているので

圧下(あっか:歯を押し込むこと)をしっかり行うことが仕上がりに大きく影響します

また上の歯を配置するにあたり、下の歯も圧下する必要がありました

この上下の圧下が一番のポイントとなります

※上のクリンチェック動画では前歯の圧下にご注目ください

マウスピース型の装置では歯の全体を覆うため

この圧下の力をかけやすく、仕上がりが良くなります

治療名:マウスピース型装置を使用した矯正治療
リスク・副作用:歯磨き等のセルフケアを怠ると虫歯や歯周病のリスクが高くなります。装着時間を守らないと計画通りに歯が動かない、治療期間が延びる場合があります。矯正治療が完了した後は後戻りを防ぐために保定装置を正しく使用しないと再度矯正治療が必要になる可能性があります。歯と顎のバランスによってはご自身の歯を削る場合があります(削る量は個人差があります)。まれに歯の根が短くなる場合があります。装置装着後、痛みを感じることがあります(歯が動く正常な反応なので心配ありません)。

検診・歯石取り・歯のクリーニング・フッ素塗布などもご予約いただけます。3ヶ月先のご予約もお気軽にどうぞ。

042-452-8548

診療時間

 
午前 × ×
午後 × ×

午前:10:00~13:00
午後:14:00~18:00
△:土曜日は17:00まで

休診日:水曜日・日曜日・祝日
※祝日がある週は水曜平日診療