調布の矯正歯科なら 調布・柴崎駅の歯医者

〒182-0007 東京都調布市菊野台1-20-39メゾン内田1F
京王線 柴崎駅北口より徒歩2分

診療時間
10:00~13:00 × ×
14:00~18:00 × ×

△:14:00~17:00 休診:水・日・祝

ご予約・お問合せはこちら

042-452-8548

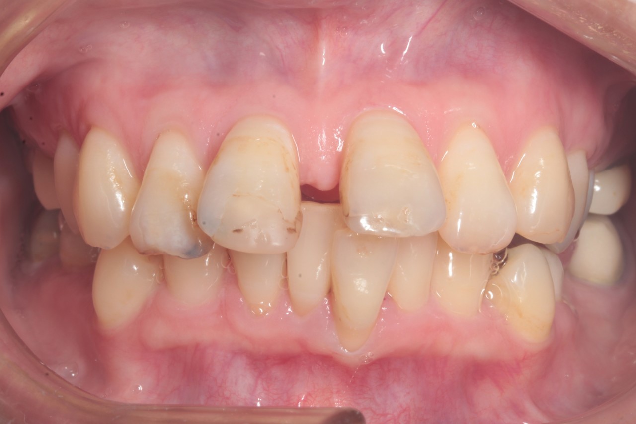
空隙歯列(すきっ歯) 非抜歯矯正

治療前

治療後

治療前

治療後

個人の症例です

治療結果/期間/費用には個人差あります

⇩治療計画(クリンチェック)動画⇩

『空隙歯列(くうげきしれつ)』は

歯間にすきまがある歯並びを指します

すきっ歯とよく言われる歯並びです

今回は『上顎前突(出っ歯)』も併発しており

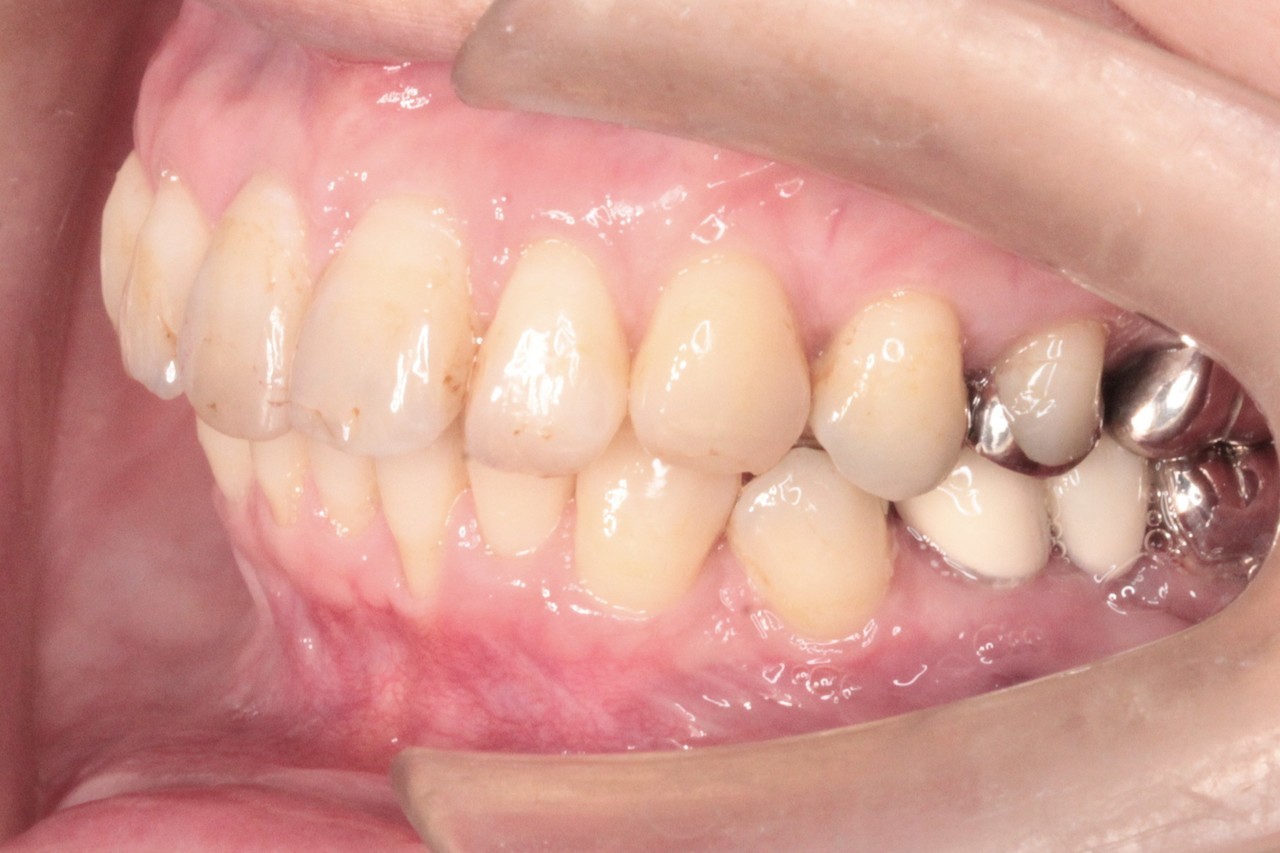
さらに歯周病があり複数の奥歯が失われている、という難しい状態でした

はっきり言ってしまうと

あと10年程度で多数の抜歯と入れ歯やインプラントのような欠損補綴が必要になりそうな状態です

治療前後写真について

 調布市の40代女性

 主訴:歯と歯の間のすきまが気になる

 使用装置:インビザライン

 治療期間:約2.5年

 治療費用:93.5万円(税込)

 治療結果:空隙歯列と上顎前突が改善されました

簡単に考えると、

上の前歯を後ろに移動させれば、歯間の隙間が小さくなり、前突(出っ歯)もなくなります

しかし、下の前歯と接触したり、奥歯がかみ合わなくなったりで

簡単には前歯を移動させることはできません

そのため、奥歯のかみ合わせをしっかり作りながら

上下の前歯を後ろに移動させていく

という作業が必要になります

それを数本奥歯がない状態でかみ合わせを作り

歯周病で土台が弱くなった歯を動かしていくのです

非常に難しい状態であり

事前の治療と慎重な計画、患者さまのご協力、

すべてがマッチする必要がありました

幸い患者さまも大変頑張っていただけたので

かなりきれいに歯並びを作ることができました

今後も慎重に丁寧にメンテナンスを行う予定です

治療名:マウスピース型装置を使用した矯正治療
リスク・副作用:歯磨き等のセルフケアを怠ると虫歯や歯周病のリスクが高くなります。装着時間を守らないと計画通りに歯が動かない、治療期間が延びる場合があります。矯正治療が完了した後は後戻りを防ぐために保定装置を正しく使用しないと再度矯正治療が必要になる可能性があります。歯と顎のバランスによってはご自身の歯を削る場合があります(削る量は個人差があります)。まれに歯の根が短くなる場合があります。装置装着後、痛みを感じることがあります(歯が動く正常な反応なので心配ありません)。

検診・歯石取り・歯のクリーニング・フッ素塗布などもご予約いただけます。3ヶ月先のご予約もお気軽にどうぞ。

042-452-8548

診療時間

 
午前 × ×
午後 × ×

午前:10:00~13:00
午後:14:00~18:00
△:土曜日は17:00まで

休診日:水曜日・日曜日・祝日
※祝日がある週は水曜平日診療