調布の矯正歯科なら 調布・柴崎駅の歯医者

〒182-0007 東京都調布市菊野台1丁目20-39メゾン内田1F
京王線 柴崎駅北口より徒歩2分

診療時間
10:00~13:00 × ×
14:00~18:00 × ×

△:14:00~17:00 休診:水・日・祝

ご予約・お問合せはこちら

042-452-8548

当院のインビザラインが
選ばれる
の特徴

調布のマウスピース矯正専門
インビザライン社プラチナランク
5年連続認定 女性ドクター

 クリックして詳細をチェック   
  • 当院は2016年年末に開設し、2017年よりインビザラインを使用した矯正治療を開始しました。これまでのすべての患者さまの治療を矯正歯科医師の東郷千穂美(とうごうちほみ)が受け持っております。2021年にはじめてインビザライン社より『プラチナランク』の上位ドクター認定を受け、5年連続で更新中です。正確でご安心いただける矯正歯科を目指し、設備も十分なものを整えております。なにより、丁寧な説明と丁寧な施術、患者さまを思う心を大切にし、日々の診療に臨んでいます。
  • 他院で断られたマウスピース矯正
    「難症例・抜歯矯正」にも対応

     クリックして詳細をチェック   
  • 未だに多くの矯正の先生方が『マウスピース矯正ではできない』と説明することが多くあるそうです。ほとんどのケースでそんなことはありません。当院では他院さまで断られたケースでも問題なく終了している方が多くいらっしゃいます。インビザラインがうまくいくかどうかは知識や技術や設備のアップデートは当然のこと、治療計画(クリンチェック)の出来にかかっています。AI丸投げではなく、お一人ずつ地道に丁寧にクリンチェックを仕上げていく作業は誰でもできるものではなく、経験も大きく影響します。そういった不断の努力の結果、マウスピース型では難しいとされている抜歯矯正にも取り組み、成果を上げています。なお終了した患者さまのご協力により、症例集ページも多数の症例をご用意しておりますので是非ご覧ください。
  • iTeroによる歯のスキャン

    安全な矯正のためのCT・セファロ

    調布で丁寧な無料矯正相談
    見える化したカウンセリング

     クリックして詳細をチェック   
  • 矯正治療は長く、コストもかかる治療です。始める前になるべくご不安や不明点は取り除いておきたい、と多くの患者さまは考えられると思います。矯正やインビザラインの一般的な話に終始するのではなく、培ってきた経験等をもとに、期間やコストはもちろん、なるべく具体的でわかりやすい説明を心がけております。その際、iTeroで歯のスキャンを行い、モニターで一緒に見ながら概要の説明を行っております。
  • カウンセリングの様子

    当日歯並びの全方向チェック可能

    「本当に治るの?」
    を解決する 
    症例集

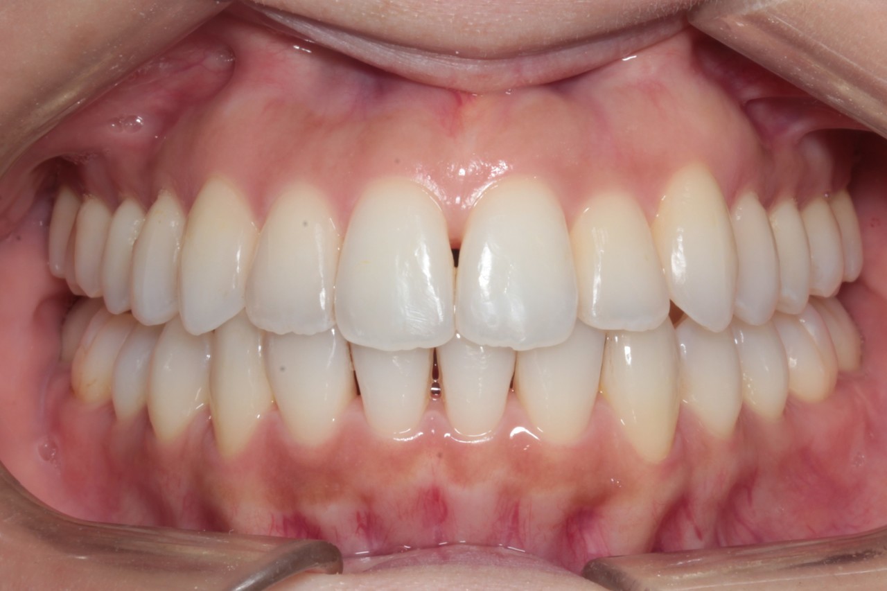
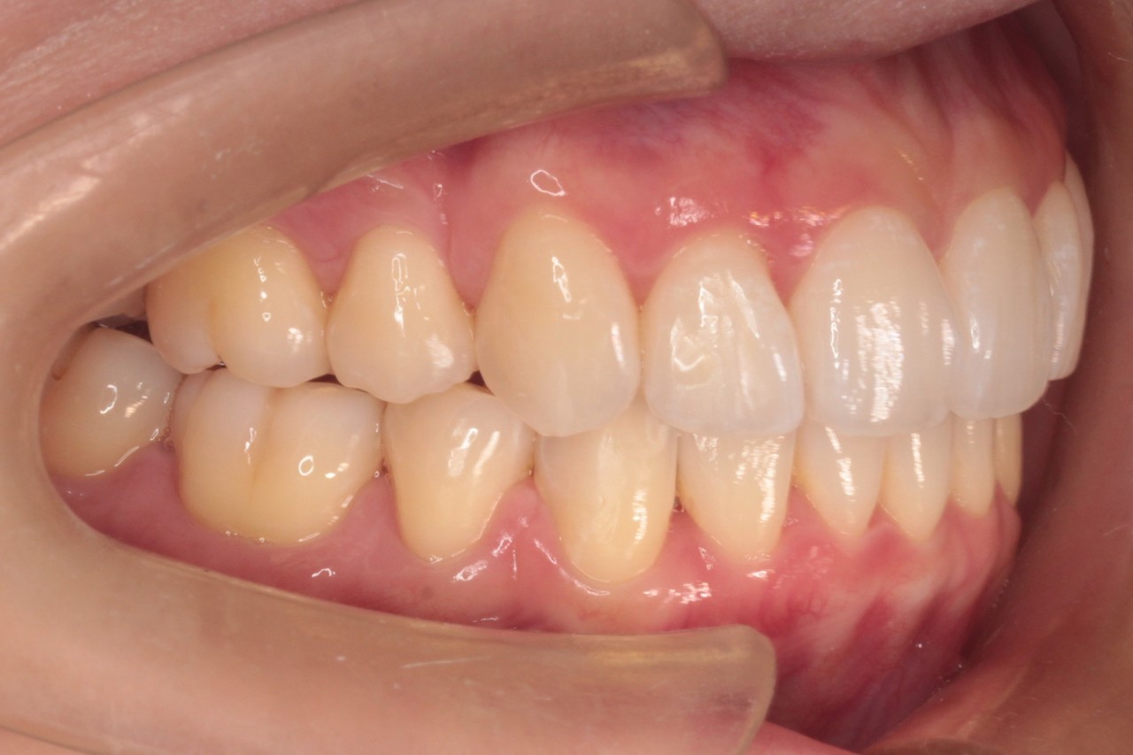
    症例①非抜歯でデコボコの歯並び改善
    (モニター患者さま)インビザライン

    治療期間:約3年 抜歯:なし 税込費用:935,000円(税込)

    治療前

    治療後

    治療前

    治療後

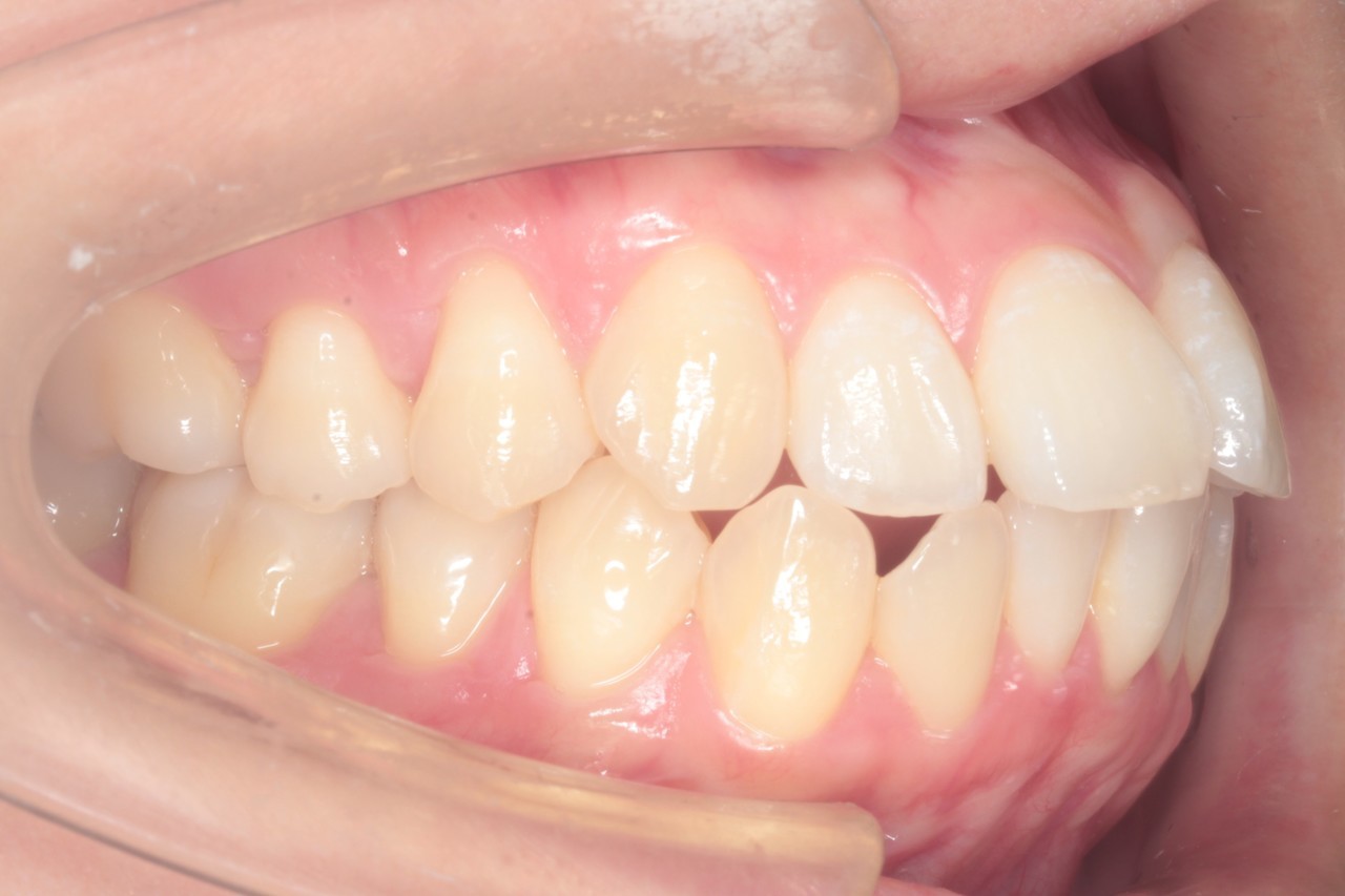
    症例②抜歯矯正で前歯を下げた方
    (Eライン改善)インビザライン

    治療期間:約3年 抜歯:あり(小臼歯4本) 税込費用:935,000円+抜歯4本 44,000円

    治療前

    抜歯矯正後

    治療前

    口元の突出

    抜歯矯正後

    調和のとれた横顔へ

    治療をイメージできる
    実際の
    患者様の声

    • 長い間のコンプレックスが解消した!
    • 見た目は当然、磨きやすさの向上や歯のトラブルの減少も実感した!
    • 同時ホワイトニングで満足度がさらにUPした!
    • 大きな口で笑えるようになった!
    • 他の医院では断られたが、とてもきれいになった!
    • 先生が一人一人丁寧に向き合ってくれる!
    • お金をかけてでもやったほうがいい治療だと思う!

    矯正治療への不安を解消する
    深掘りの
    コラム

    ⇩トップ3コラム⇩

    金属ワイヤーvsマウスピース

    歯が動く仕組みと矯正中の痛み

    医療費控除を上手に使いましょう

    矯正治療プランと
    わかりやすい
     料金体系

    • インビザラインのすべてのプランを扱っております
    • はじめにかかるトータルフィー制度で、診療のたびにかかる調整料金不要
    • 月6,900円~12,900円 からスタートOK 業界最低金利のデンタルローン扱っております
    • 各種クレジットカード対応しております
    • 医療費控除のご案内可能です(ケースによってはかなりお得になります)

    矯正治療への疑問を解消
    よくあるご質問

     <マウスピース矯正は歯の動きが悪いと聞きましたが大丈夫ですか?>

    大丈夫です。ルール通り使用すれば全く問題なく動きます。歯は持続的な弱い力で動くという特徴があります。ワイヤーではかなり強い力をかけられますが、実はそこまでの力は必要ありません。逆に強すぎると痛みが顕著で、トラブルが起きることもあります。インビザラインでは特殊な材料でできたマウスピースを使用しますので、過剰な力はかからず、適切な使用で持続的な力をかけることが可能です。

    <期間はどれくらいかかりますか?>

    プランや歯並び、お口の状態等によって変わりますが、早くて数カ月程度、長くて数年、となります。無料矯正相談では診察後に目安をお伝えすることが可能です。詳しくはその際にご説明いたします。

    <何歳からできますか?>

    平均12歳~となります。乳歯のはえ変わりが終わり、大人の歯のみ(永久歯列)になっていることが条件です。また、お口の状態に問題がなければ、ご年齢に上限はありません。

    <前歯だけのプランはありますか?>

    はい、あります。最安最短のプランとなります。ただし限られたごく軽度の歯列不整にしか使用できません。無料矯正相談時に歯のスキャンを行いますが、このプランが使用可能かどうか客観的なAIによる判定を行っておりますので、詳しくはその際にご説明いたします。残念ながら使用不可の場合は、他のプランでご検討していただくこととなります。

    お気軽にご予約ください
    無料矯正相談

    無料とはいえ、患者さまにお時間を取っていただく以上、誠心誠意対応してお悩み解決の一助となるように励んでおります。

    ①問診票のご記入とインビザライン資料読み(20分)

    ②問診と歯のスキャン(20分)

    ③カウンセリングルームでスキャンデータの確認と今後の流れ・プラン・期間・治療費等の説明(20分)

    相談ご希望の患者さまはお電話かインターネットでのご予約をお願いいたします。なお、無断でのキャンセル・遅刻はお控えいただくようよろしくお願いいたします。インターネットでのご予約の場合、『無料矯正相談(※永久歯列の方)』をご選択ください。ご予約後スタッフよりご連絡させていただきます。

    無料相談後は?
    治療の 流れ

    無料相談
    (必要時前処置)
    精密検査
    治療計画説明
    治療開始
    終了(保定開始)

    療のご案内

    患者さまへ痛みや不安を与えないことを第一に、麻酔の方法に工夫を凝らしています。歯の神経をできるだけ取らない治療もおまかせください。

    歯周病治療への研鑽を積み続ける歯科医師と歯科衛生士が、初期段階から重症まで最善を尽くします。治療後のメインテナンスもお任せください。

    「虫歯や歯周病にかからない」「8020」を目指し、患者さまお一人お一人に合わせた予防歯科をご提供します。担当歯科衛生士制で細やかなケアを。

    透明な装置を使用するマウスピース矯正を行うことで、見た目を気にせず自然に歯並びを整えられます。かみ合わせや健康のための矯正治療も行っています。価格もリーズナブルに抑えています。

    白い詰め物や被せ物をただ装着するだけでなく、お顔の表情まで考えた審美治療を行います。豊富なメニューと3年保証で、患者様のご満足を目指します。

    歯をより白くでき口臭も予防するホワイトニングをご用意しています。お口の環境改善にも大きな効果があります。豊富なメニューから患者さまにぴったり合うものをご提案いたします。

    子育て経験のある歯科医師と、子ども好きのスタッフが、お子さまの歯の健康を守ります。正しい習慣を身に着けるお手伝いをし、小児矯正にも対応しています。

    国内トップクラスの歯科医師に学び、治療経験も豊富な歯科医師が、より精密で確かなインプラント治療をご提供します。治療後も10年保証付きで安心です。

    親知らずの抜歯・移植

    親知らずの抜歯はもちろん、残すべき状態かどうかも判断します。また移植で機能していない親知らずを有効利用することも可能です。

    院からのごあいさつ

    京王線柴崎駅からすぐの調布柴崎歯科クリニックは、さまざまな診療に対応する地域の歯医者です。在籍する歯科医師は2名で、歯周病治療や外科処置を得意とする男性の歯科医師と、歯並び・かみ合わせ・審美治療を得意とする女性の歯科医師が、皆さまの歯とお口の健康を守るお手伝いをしております。

    歯科医師だけでなくスタッフ全員が「患者さまとしっかり会話すること」をモットーとしています。治療計画がどのようなもので、今現在どのような治療をしているのかなど、患者さまご自身に関わることを十分にお伝えしていますので、「よく分からないまま歯医者へ通っている」ということはありません。現在のお口の状態や治療方法、治療後に目指す状態などを分かりやすくご説明しますので、治療をきっかけに、患者さまにもご自身の歯やお口についてご理解とご興味を深めていただけたらと思っています。

    各専門家がそろい、一つの医院でさまざまな治療へ対応することができる、「ワンストップ歯科サービス」を提供することを心がけています。患者さまのお気持ちを大切に、「患者さま目線」の歯科医療を心がけ、熱心で心優しいスタッフが皆さまのお口の健康をサポートいたします。少しでも気になることやお悩みがありましたら、ぜひお気軽にご相談ください。

    ディア情報