調布の矯正歯科なら 調布・柴崎駅の歯医者

〒182-0007 東京都調布市菊野台1丁目20-39メゾン内田1F
京王線 柴崎駅北口より徒歩2分

診療時間
10:00~13:00 × ×
14:00~18:00 × ×

△:14:00~17:00 休診:水・日・祝

当院のインプラント治療

インプラント治療は外科手術をともなう高度な医療です。当院の歯科医師は10年以上(※)の治療経験があり、今もなお研鑽を積んでいます。さらに患者さまのご負担を少しでも減らせるよう、院内設備の充実も図っています。治療後は10年という長い保証をお付けしていますので、安心してお使いいただけます。

※保険外診療です

経験豊富な歯科医師が担当
保証つきのインプラント治療

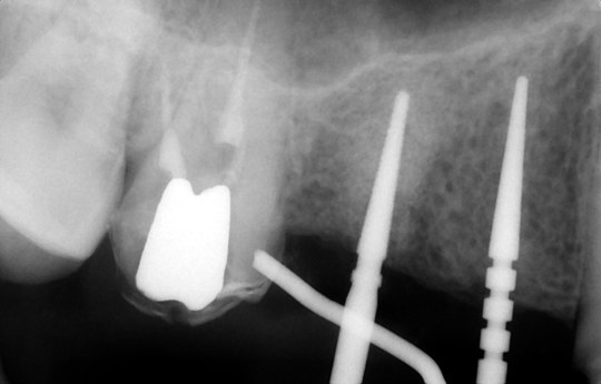
①根が割れた状態
②抜歯同時骨造成
③埋入方向確認
④インプラント埋入後

歯科用CTとインプラントシミュレーションソフトによる事前の治療計画

当院の歯科医師は、インプラント治療で10年以上(※)の経験があります。さまざまな症例と向き合いながら、さらに最新かつ理論的な治療法を学ぶため、現在も定期的に5-D Japanという組織の勉強会へ参加し、技術と知識の向上に努めています。

5-D Japanとは?

海外での講演など、活躍めざましい日本人トップクラスの歯科医師が講師となり、歯科医療に関する最新の知識・技術を磨くための組織です。実際の治療現場ですぐに役立つ実践的な知識・技術を学ぶことができるため、歯科医療関係者からの人気が高く、コースによっては2〜3年待ちとも言われます。

10年の保証つき

インプラント治療は保険外診療になるため、治療費が高額になりがちです。治療費を患者さまご自身に全額ご負担いただくからには、当院では治療に責任を持って、10年の保証期間をおつけしています。治療後も定期的にメインテナンスを受診いただいている患者さまには保証がありますので、安心して治療を受けていただければと思います。

(※2018年現在)

一次オペ 220,000円(税込)
二次オペ 22,000円(税込)
上部構造 133,100円(税込)

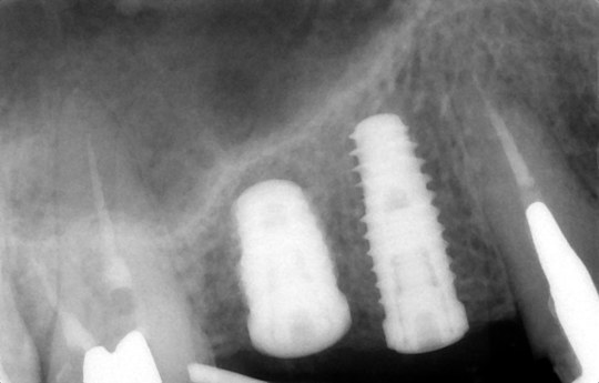
インプラント治療が難しい方にも対応
予後の良さを追求

このようにインプラント予定部位に骨がなくても骨を作る(骨造成)ことができます

治療前

骨造成して完成

これまでにインプラント治療が難しいと言われ、諦めている方にも、当院ならばお手伝いできる可能性があります。

インプラントができない主な原因は、インプラントを埋め込む部分に十分な骨がない場合が多く考えられます。このような場合には、不足している部分に骨を増やす治療法を行うことができます。これは高度な技術を必要とする治療法で、どの歯科医師でも実施可能というわけではありませんが、どうぞご安心ください。

当院の歯科医師は豊富な治療経験と、意欲的に学び続け習得してきた知識・技術で対応することが可能です。GBRやソケットリフトと呼ばれる、骨を増やす「骨造成」という治療のほか、歯ぐきを形成する外科手術にも対応しています。インプラントが難しいと診断されたことがある方も、諦めずにご相談ください。

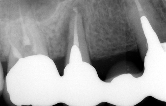
インプラントは虫歯にならない素晴らしい材料ですが、欠点もあります。天然の歯に存在する『歯根膜』がありません。『歯根膜』は歯根の保護や周囲組織への栄養など、200∼300ミクロンという薄さながら大きな役割を持っています。その『歯根膜』がないため、インプラントそのものだけではなく、インプラントの周囲にも気を配る必要があります。インプラント周囲に十分に骨を作ったり、歯ぐきを強く厚くしたり、というのは、『歯根膜』がないという欠点を補うためのものです。(行う必要がない場合も多くあります)

歯科治療すべてに言えることですが、インプラントは完成がゴールではなく、いかに機能させて、長持ちさせるかの方が重要です。基本的な手術だけでなく、以下のような難しい手術をマスターしているのも、予後の良さを追求した結果です。当院のインプラント治療は「予後重視」で計画を立てています。

 

追加オペ料金表

GBR(骨造成) 110,000円~
サイナスリフト(上顎洞底挙上術) 165,000円~
CTG(結合組織移植術) 44,000円~
FGG(遊離歯肉移植術) 44,000円~

治療名:インプラント治療
リスク・副作用:手術後に痛みや腫れ、出血、合併症などを引き起こす可能性があります。噛む感覚がご自身の歯と異なる場合があります。手術後にメンテナンスを継続しないと、インプラントが抜け落ちる可能性があります。手術後にメンテナンスを継続しないと、インプラント周囲炎(歯周病のような症状)にかかる可能性があります。

治療名:GBR、サイナスリフト
リスク・副作用:手術後に痛みや腫れ、出血、合併症などを引き起こす可能性があります。個人差により、予定量の再生ができない場合は再手術が必要になる場合があります。組織が再生するまで数ヶ月の期間がかかります。

患者さまの負担を軽減するため
充実した設備をご用意

インプラント治療は、人工の歯根(歯の根)を歯ぐきに埋め込むため、外科手術を必要とします。虫歯などの歯科治療と比べると、歯科医師側には高度な技術が必要とされ、患者さまには少なくない心身の負担を強いることとなります。当院は患者さまに少しでも負担なくインプラントの治療を受けていただくため、設備面でも充実を図っています。

たとえば手術をする場所です。当院には一般の治療スペースとしっかり分けた手術室を備え付けています。こうすることで空気感染を防ぎ、より清潔な環境で手術を受けていただくことができます。

また、事前検査にも負担軽減の工夫をしています。インプラントを埋め込むあごの骨には、重要な神経や血管があり、そこを誤って傷つけるようなことがあってはなりません。そのような危険性をできる限り少なくするためには、術前の精密な検査や診断が重要となります。そこでCTによる検査を行うことで、手術中の事故を防ぎ、より安全に治療を行えるよう努めているのです。

インプラント治療の流れ

検査

検査器具やレントゲン、CTで、歯やあごの骨の状態を調べます。

治療計画の説明

歯やあごの骨など、お口がどんな状態なのかをご説明し、治療計画をご案内します。

手術

インプラント本体をあごの骨に埋め込みます。

人工の歯を装着

インプラント本体の上に人工の歯を装着します。

メインテナンス

インプラントを長持ちさせるために、定期検診や歯のクリーニングを受けることをおすすめします。

パソコン|モバイル
ページトップに戻る