調布の矯正歯科なら 調布・柴崎駅の歯医者

〒182-0007 東京都調布市菊野台1丁目20-39メゾン内田1F
京王線 柴崎駅北口より徒歩2分

診療時間
10:00~13:00 × ×
14:00~18:00 × ×

△:14:00~17:00 休診:水・日・祝

当院の親知らずの治療

 

親知らずは、平均20歳前後ではえてくる歯で、人類全体では退化傾向にあり、全く生えてこない方もいらっしゃいます。親知らずを、どう扱うのか?は歯科医院によって大きく変わってきます。

当院では、基本的な方針として『周囲やかみ合わせに大きな問題を起こす・親知らずが虫歯でボロボロ』という場合には抜歯をおすすめしています。虫歯の状況やはえている方向や深さによっては、とても難しい抜歯になることもあります。逆にむし歯が無いか軽度で、きちんと管理できる場合には保存をおすすめしています。

というのも、いずれほかの歯が大きなトラブルを起こし、抜歯が必要になった場合、ブリッジ・入れ歯・インプラントなど従来の方法とともに、親知らずを移植できないか検討することも多くあります。状態の良い親知らずは不要な歯ではなく、大きな助けになってくれる場合もあるのです。

難易度が高い親知らずの抜歯や移植は外科手術をともなう高度な医療です。当院の歯科医師は10年以上(※)の治療経験があり、今もなお研鑽を積んでいます。さらに患者さまのご負担を少しでも減らせるよう、CTなどの院内設備の充実も図っています。

※2018年現在

経験豊富な歯科医師が担当
安全を第一に考えた抜歯

横にはえた親知らず

親知らずの抜歯後

親知らずの抜歯で多くの患者さまが不安に思うのが、抜歯時の痛みとその後の腫れです。

麻酔がしっかり効いていれば、親知らずの抜歯に痛みを伴うことはありません。お口には麻酔が効きやすい場所と効きにくい場所があり、抜歯時には慎重に麻酔の効き具合を確認しています。

また、一般的には、お口の中にしっかり顔を出している親知らずの抜歯では大きく腫れが出ることはありません。しかし、歯ぐきの中に埋まっている親知らずを抜歯する場合には腫れが出ることも多々あります。通常腫れは数日、痛みは1週間程度です。(多少の個人差はあります)なるべく患者さまにストレスがないように投薬や術後消毒などを積極的に行っています。

特に下のあごの埋まっている親知らずに多いのが、顎の骨の中にある下歯槽神経・下歯槽動脈と近接している状態です。抜歯中や抜歯後にまひや異常出血などのトラブルを起こすこともあるので、抜歯が必要な場合は、抜歯のトラブル時に同じ院内ですぐに対応が可能な近隣の大学病院へ紹介することもございます。

当院はワンストップ歯科サービスを心がけていますが、患者さまのお身体の安全には変えられません。必要時にはご理解いただくようお願いいたします。

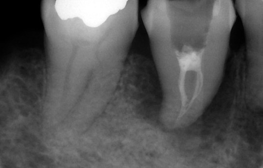
抜歯不可避な歯への親知らずの自家歯牙移植

ブリッジ

入れ歯

インプラント

天然歯とインプラントの断面

虫歯で歯が割れて周囲に強い歯周病

親知らずを移植し根管治療中

※現在治癒を経過観察中

人間の歯はサメのように何度も生え変わりをすることはありません。つまり永久歯は一度抜けると二度と生えてきません。抜歯後には、ブリッジ・入れ歯・インプラントという方法がとられるのが一般的です。どの方法も一長一短ですが、すべてに共通するのが『抜歯が前提であり、歯根膜が失われた状態での修復である』ということです。

『歯根膜』は、歯根の保護や周囲組織への栄養や、噛む力を受け止めるクッションの役割など、200~300ミクロンという薄さながら大きな役割をいくつも持っています。また、歯根膜から脳への直接の信号を噛むたびに送ることで、ボケ防止にも役に立っているといわれています。(歯が多い高齢者はボケにくい。)

親知らずを抜歯箇所に移植するのは、他の3つの方法に比べて制限はあるものの、歯根膜を得ることができるということで大きな意味があります。また、前後の歯を削ったり、負荷をかけるブリッジや入れ歯に代わる方法として保険が利くのも魅力です。(保険がきかない場合もあります)予後が読みにくく、多少不確定要素もありますが、上記3つの方法加えて、第4の方法となります。

当院では、安易な親知らずの抜歯を避け、いざという時に移植に使える可能性を残しています。また、移植という高度な歯科医療をしっかり行える体制も整えています。

親知らず治療の流れ

検査

検査器具やレントゲン、CTで、歯やあごの骨の状態を調べます。

治療計画の説明

歯やあごの骨など、お口がどんな状態なのかをご説明し、治療計画をご案内します。

抜歯や移植

局所麻酔化で抜歯や移植を行います。移植後は根の治療などが続きます。

メインテナンス

定期検診や歯のクリーニングをお受けすることをおすすめします。

パソコン|モバイル
ページトップに戻る