調布の矯正歯科なら 調布・柴崎駅の歯医者

〒182-0007 東京都調布市菊野台1丁目20-39メゾン内田1F
京王線 柴崎駅北口より徒歩2分

診療時間
10:00~13:00 × ×
14:00~18:00 × ×

△:14:00~17:00 休診:水・日・祝

当院のホワイト二ング

歯の白さをスピーディに実感できるホワイトニングをご提供。豊富なホワイトニングメニューを、ご利用ただきやすい価格で取り揃えております。1回からでもぜひお試しください。当院で矯正歯科を受けて受けておられる患者さまは、ほとんどの方が行っております。歯並びと色の両面から美しく仕上げることが可能です。また多くの患者さまが行っておりますので、かなり安価にご提供可能なのも大きな特徴です。
※保険外診療です

白さをスピーディに実感でき
歯を傷めることはありません

オフィスホワイトニング風景

当院では、患者様がご来院してからホワイトニングの薬剤を調合します。これまでの経験や知識を活かし、歯をより白くでき安全にも配慮したオリジナルの薬剤をお作りし、使用します。

このオリジナルの薬剤を使用すると、効果をスピーディに実感することが可能。一度の施術で歯を白くすることもできます。ホワイトニングに興味はあるけれど忙しくてなかなか通えないという方も、ぜひお任せください。

さらにこの薬剤は、歯に付着した汚れをきれいに取ることもできます。この結果、歯を白くするだけでなく口臭を予防することにもつながります。白い歯と同時に、健康で清潔なお口を目指してみてはいかがでしょうか。

また、どんなホワイトニングでも多少の痛みを伴うことがあります。この正体は『一時的な脱水』です。お口の中には常に水分があるので、すぐに給水して痛みはなくなります。施術後24時間以内に濃い色の飲食をしないように、という注意があるのもこの給水が起きるためです。近年の研究では、ホワイトニング剤による作用で歯が強化されることもわかってきています。『ホワイトニングは歯に良くない』というのは完全に迷信です。安心してお受けください。患者さまのご希望をお伺いし、お一人ずつ専用のプランニングをいたします。まずは1回からでも構いませんので、ぜひお試しください。

以下の動画は、当院で初めてオフィスホワイトニングを受けられた40代男性の患者さまです。今まで興味はあったそうですが、通っていた歯科医院で歯に良くないからしない方がいいと言われていたそうです。大変満足されてその後もホームホワイトニングなども続けられております。

定期的にホワイトニングを行っている患者さまからは、『疲れると腫れていた歯ぐきが腫れなくなった』『口臭が減った』など、うれしいご報告も多数いただいております。ホワイトニングを行っている患者さまは『歯を大事にする』ことがとても多いようです。

リーズナブルな価格を実現

ホワイトニングをぜひ気軽に行っていただきたいと考え、リーズナブルな価格設定をしています。既製の薬剤を購入するのではなく、院内でお薬を調合する方式にすることで、大きくコストダウンが実現できました。(通常1回のオフィスホワイトニングが数万円するのが平均です)

歯を白くすることにはメリットがたくさんあります。見た目が良くなることはもちろん、きれいな状態のお口を保とうという意識が高まりますので、虫歯や歯周病の予防をするようになります。すると虫歯治療などへ割く時間的、費用的なコストも減らせますし、何より生涯の健康へ良い効果が生まれます。

ご興味がおありの方は、ぜひお気軽にお問い合わせください。

豊富なメニューから
あなたにピッタリの方法をご提案

ホワイトニングにはさまざまな方法があります。当院ではホワイトニングのメニューを豊富にご用意し、患者さまが希望される白さや歯の状態に合わせて最適な方法をご提案しています。

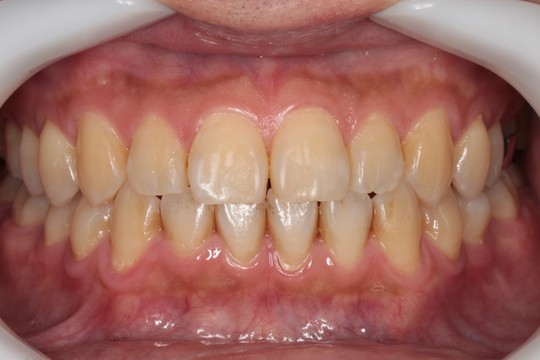
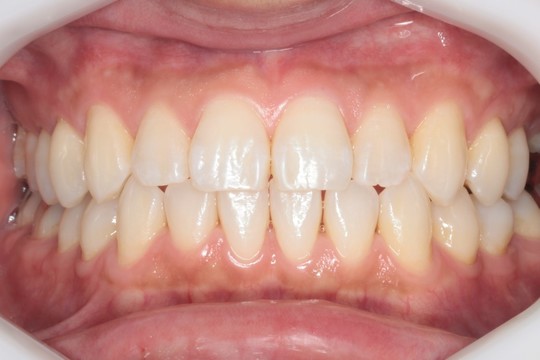
デュアルホワイトニング前後(オフィス3回+ホーム2か月)

スタンダードオフィスホワイトニング

上下12本/1回 9,900円
上下12本/5回セット 46,200円

スペシャルオフィスホワイトニング

上下20本/1回 16,500円
上下20本/5回セット 77,000円

パーフェクトホワイトニング

上下20本/1回 30,800円

ホームホワイトニング

片顎(マウスピース作製) 5,500円
ホワイトニングジェル1本 2,200円

矯正歯科治療と同時に行う場合は、マウスピース作製(5,500円)は不要です

デュアルホワイトニング

デュアルホワイトニング 71,500円

※金額は全て税込です。

治療名:ホワイトニング
リスク・副作用:痛みや知覚過敏が起きる可能性があります(数日で改善することがほとんどです)。

オフィスホワイトニングの流れ

お口の検査

お口の中を拝見し、ホワイトニングができる歯や歯ぐきの状態かを確認します。

歯の表面をクリーニング

歯の表面の汚れを取ります。

ホワイトニング剤を塗る

ホワイトニング剤を表面に塗ります。

光照射

ホワイトニングを促進する特殊な光を歯に照射します。

洗浄と艶出し

ホワイトニング剤を洗い流し、歯を艶やかに磨き上げます。

パソコン|モバイル
ページトップに戻る