調布の矯正歯科なら 調布・柴崎駅の歯医者

〒182-0007 東京都調布市菊野台1丁目20-39メゾン内田1F
京王線 柴崎駅北口より徒歩2分

診療時間
10:00~13:00 × ×
14:00~18:00 × ×

△:14:00~17:00 休診:水・日・祝

当院の審美歯科(白い詰め物・被せ物)

白い詰め物や被せ物によって歯を美しくするためには、ただ詰めたり被せたりをすれば良いわけではありません。当院の審美歯科は治療後の表情がより素敵なものになるよう、豊富な経験を元に、それぞれの患者さまに治療をご提供しています。治療メニューも多く、保証も付いておりますので、ご満足いただけることと思います。矯正歯科治療後にかみ合わせに合わせて作製することも多く、当院でのセラミック治療はかなり多くの実績があります。
※保険外診療です

20年以上培った審美歯科治療の経験で
より美しい歯に

白い詰め物や被せ物で歯をより綺麗にする審美歯科では、治療技術はもちろん、美しさへのセンスも重要です。当院の審美歯科で患者さまを担当する歯科医師は、銀座・新宿・青山といった「口元の美」に対する意識が高く、こだわりを持った患者さまの多い歯科医院で勤務して参りました。経験年数は20年(※)を超え、症例数も豊富です。

これらの経験を存分に活かし、本来の歯のような自然さと、長くご使用いただける丈夫さを兼ね備えた詰め物・被せ物をご提供しています。歯型をとる際にはより精密さを求め、治療工程を工夫。変形が少ないためより精密な型を取れる「シリコン印象材」を使用したり、被せ物の場合は「圧排糸」という糸を使用して歯と歯ぐきの境目をしっかり型取りします。このようによりフィット感が高く、自然な仕上がりにするのも、その取り組みのひとつです。また、2019年には『iTero element』による、3Dデジタルスキャン(専用スキャナによる型取り)も開始いたしました。症例数を重ねておりますが、かなり完成度が高く、より満足のいく仕上がりとなっています。2025年現在では、当院2代目のiTeroである『iTero element 5D』を駆使しています。デジタル技術は当院での診療に欠かせないものになっています。

さらには、出来上がった詰め物や被せ物をお口の中に入れたときに笑顔がより美しく見えるよう、スマイルラインやエステラインという、口元のバランスの指標を意識して治療を行います。

白い詰め物や被せ物をお作りするのは、歯科医師と20年以上(※)にわたって連携をとっている歯科技工士の先生方です。海外でも活躍し確かな技術を持つ歯科技工士の先生方ですので、歯科医師からの細かな指示もしっかりと汲み取っていただけるので、患者さまに喜ばれる良質の詰め物や被せ物を提供できております。

(※2025年現在)

3年間の保証で、
美しさだけでなく安心もお届け

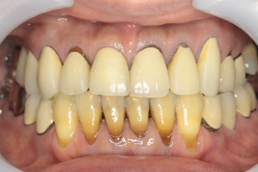
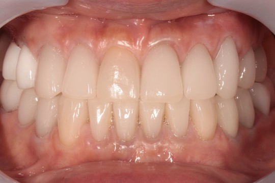
不自然な人工物や強い変色歯も

オールセラミックで美しく 下前歯は歯ぐきの位置調整も

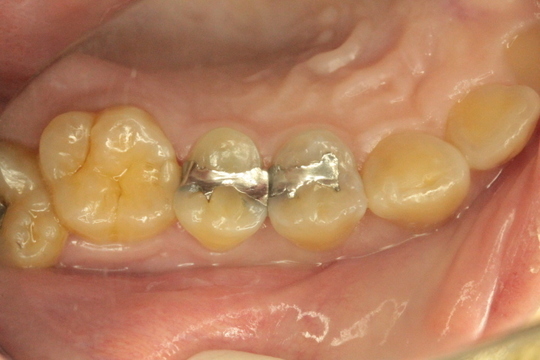
気になる金属を白くすることも可能です

白い詰め物や被せ物などの審美歯科は、健康保険の対象外です。よって保険外診療となるために、どうしても患者さまの金銭的なご負担を増やすこととなってしまいます。

当院は、そのようなご負担を少しでも減らしたい、患者さまに安心していただきたいという思いから、審美歯科の治療について3年間の保証をおつけしています。当院で継続的なメインテナンスを受けていただくことが必要ですが、保証があれば何かあったときにも患者さまにご安心いただけるのではないでしょうか。

また、白い詰め物・被せ物の価格そのものも、できる限り抑えた設定をしております。当院の場合、審美歯科を受診なさる方の全体数が多いため、一点あたりのコストを削減することが実現できているのです。口元をきれいにしたいと願う患者さまが、より気軽に審美治療を受診できように。その思いを強く持ち、さまざまな工夫を凝らしています。

豊富な治療メニューをご用意

当院の審美歯科では、豊富な治療メニューをご用意。ここでは、メニューと料金をご紹介します。

オールセラミッククラウン 83,600円〜132,000円
ジルコニアクラウン 111,100円〜165,000円
ハイブリッドクラウン 77,000円〜
メタルボンド 111,100円
オールセラミックインレー 52,800円
ハイブリッドインレー 35,200円
ラミネートベニア 111,100円
ダイレクトボンディング 22,000円〜

※金額は全て税込です。

治療名:セラミック治療
リスク・副作用:強い力をかけると割れる(欠ける)可能性があります。土台となるご自身の歯を削る必要があります(削る量は材質や個人差によります)。

治療名:ラミネートベニア
リスク・副作用:強い力をかけると割れる(欠ける)可能性があります。土台となるご自身の歯を削る必要があります(削る量は材質や個人差によります)。
治療名:ダイレクトボンディング
リスク・副作用強い力をかけると割れる(欠ける)可能性があります。土台となるご自身の歯を削る必要があります(削る量は材質や個人差によります)。長期の使用により変色する可能性があります。

 

審美歯科(白い詰め物・被せ物)治療の流れ

検査

検査器具やレントゲンで、歯やあごの骨の状態を調べます。

治療計画の説明

歯やあごの骨など、お口がどんな状態なのかをご説明し、治療計画をご案内します。

歯を削ります

詰め物や被せ物の土台になる歯を削ります。矯正歯科の前処置として行う場合は仮のものになることもあります。

詰め物や被せ物を装着

詰め物や被せ物を装着します。矯正歯科の終了後にかみ合わせに合わせて作製することもあります。

メインテナンス

詰め物や被せ物を長持ちさせるために、定期検診や歯のクリーニングを受けることをおすすめします。

パソコン|モバイル
ページトップに戻る