調布の矯正歯科なら 調布・柴崎駅の歯医者
〒182-0007 東京都調布市菊野台1丁目20-39メゾン内田1F 京王線 柴崎駅北口より徒歩2分
△:14:00~17:00 休診:水・日・祝
ご予約・お問合せはこちら
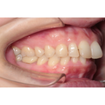
軽度歯列不整から、難易度の高い症例まで、すべてマウスピース矯正(インビザラインシステム)で対応しています。
⇩軽度歯列不整の方のみ⇩