調布の矯正歯科なら 調布・柴崎駅の歯医者
〒182-0007 東京都調布市菊野台1丁目20-39メゾン内田1F 京王線 柴崎駅北口より徒歩2分
△:14:00~17:00 休診:水・日・祝
ご予約・お問合せはこちら
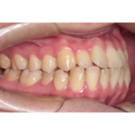
外科が必要な骨格的下顎前突の場合は大学病院へのご紹介となります