調布の矯正歯科なら 調布・柴崎駅の歯医者

〒182-0007 東京都調布市菊野台1丁目20-39メゾン内田1F
京王線 柴崎駅北口より徒歩2分

診療時間
10:00~13:00 × ×
14:00~18:00 × ×

△:14:00~17:00 休診:水・日・祝

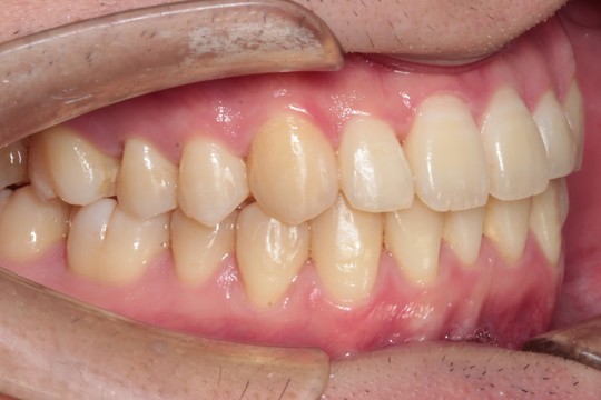
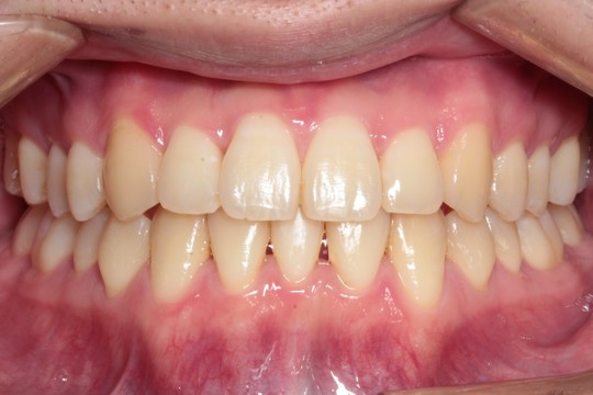
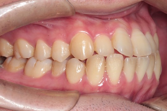
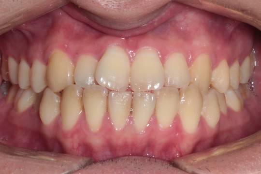
下顎前突(受け口) 抜歯矯正

治療前

治療後

個人の症例です

治療結果/期間/費用には個人差あります

⇩治療計画(クリンチェック)動画⇩

『下顎前突(かがくぜんとつ)』は

下前歯(顎)が前に突出している、受け口とよく言われる歯並びです

治療前後写真について

 調布市の20代女性

 主訴:下前歯を引っ込めたい

 使用装置:インビザライン

 治療期間:約1.2年

 治療費用:93.5万円(税込)

 治療結果:下顎前突が改善されました

下顎前突の治療において

外科手術(骨切り)が必要な場合は

大学病院をご紹介しております

そこまで必要ではないケースでは

抜歯して下前歯を下げるスペースを得る『抜歯矯正』

抜歯しないでスペースを得る『非抜歯矯正』

の2通りの治療法があります

今回は抜歯矯正の症例です

小臼歯と呼ばれる前から4番目の歯を4本抜歯する場合

下前歯を1本抜歯する場合(スリーインサイザー法)

の2通りがあります

今回はスリーインサイザー法で行っています

奥歯のかみ合わせはそこまで大きく変えずに

前歯の上下の反対関係を変えられるので

当院でも比較的よく行う方法となります

今回のケースを非抜歯で行うと

奥歯をかなり動かしたうえで

上下の前歯も理想とはズレるレベルで傾斜させる必要がありました

患者さまにとっては

下とは言え前歯を抜くのは特段の勇気がいることと思いますが

良好な結果が得られました

最終では上前歯4本に対し下前歯3本の関係となります

また下前歯3本間に

多少の『ブラックトライアングル(▲)』

が発生することが多くなります

 

治療前

治療後

インビザラインでは抜歯矯正できないと聞きましたが…?

いいえ、そんなことはありません。ただし、難易度が高い治療法ではあるので、経験が豊富な歯科医師でないと行えないのは間違いありません。各種講習会では、十分な経験を積んでから行うように推奨されています。また、ほかのマウスピースシステムにおいては、基本的に公式に『抜歯矯正はNG』としているシステムが多いです。

治療名:マウスピース型装置を使用した矯正治療
リスク・副作用:歯磨き等のセルフケアを怠ると虫歯や歯周病のリスクが高くなります。装着時間を守らないと計画通りに歯が動かない、治療期間が延びる場合があります。矯正治療が完了した後は後戻りを防ぐために保定装置を正しく使用しないと再度矯正治療が必要になる可能性があります。歯と顎のバランスによってはご自身の歯を削る場合があります(削る量は個人差があります)。まれに歯の根が短くなる場合があります。装置装着後、痛みを感じることがあります(歯が動く正常な反応なので心配ありません)。

パソコン|モバイル
ページトップに戻る