調布の矯正歯科なら 調布・柴崎駅の歯医者

〒182-0007 東京都調布市菊野台1丁目20-39メゾン内田1F
京王線 柴崎駅北口より徒歩2分

診療時間
10:00~13:00 × ×
14:00~18:00 × ×

△:14:00~17:00 休診:水・日・祝

当院の根管治療

根管治療は、歯周病治療とともに、建築でいうところの『基礎工事』に当たります。どんなに良い家を建てても、基礎がダメだと家は傾きます。患者さまにとって分かりにくく、少し時間もかかる治療ですが、歯を大事にする上ではとても重要な治療ですので、ご理解をいただきたいと思います。また歯周病治療と同じく、根管治療が必要な状態で未治療のまま矯正歯科治療に移行すると、悪化することがあります。矯正歯科の前処置としてしっかりとした根管治療を行うことが重要となります。

神経を取らずに温存できるのがベスト
神経を取らざるを得ない場合の良い根管治療

歯の神経を取るのは、患者さま同様、私たちも嫌です。神経は大事な組織であり、取ると確実に歯の寿命は縮みます。さらに時間がかかる上に治療が難しく、患者さまの理解も得にくい治療だからです。また、神経を取った歯は痛くならない、というように思いこまれている患者さまもかなりいらっしゃいます。確かに神経の痛みは出ませんが、下に記している『根尖病巣』を起こすことがあります。

当院では神経を大事に扱うことを前提にし、さらに虫歯を作らないための予防も推奨していますが、同時に神経がない歯、神経を取らざるを得ない歯、に対してもなるべく歯を長く残すことができるように、根管治療に力を入れています。

神経がない歯を守るための治療

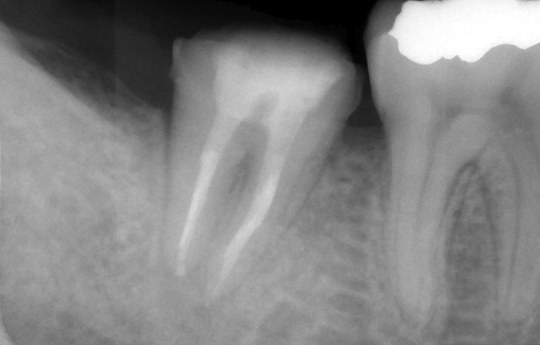
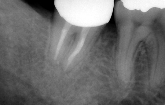
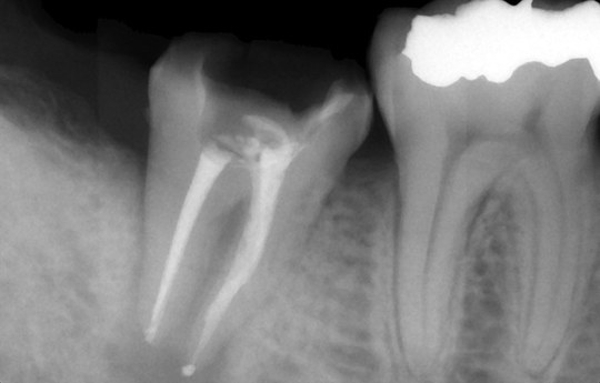
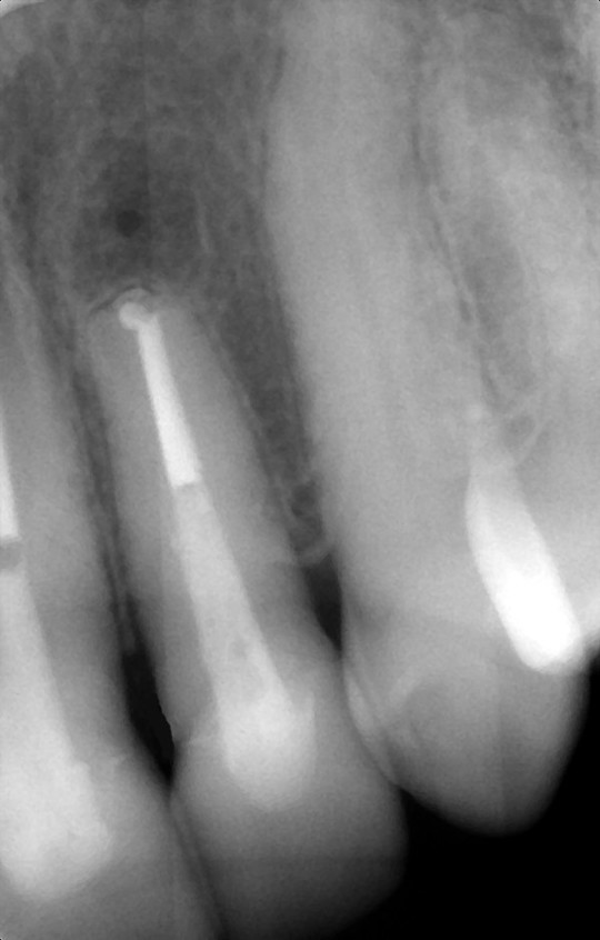
根の先の骨まで感染 骨が溶けている状態
数回の根管治療・根管充填の直後

根管治療終了から3か月 骨が回復傾向

かぶせものをして1年6か月
完全に骨は回復

歯の神経(歯髄)は、歯に栄養分・水分を行き渡らせる働きを持っています。そのため、神経を取ってしまうと栄養が不足し、歯がもろくなってしまうのです。もろくなった歯は、折れたり欠けたりしやすくなります。

また、根管(歯根の中にある管)からその周囲の骨に、虫歯由来の細菌が感染すると免疫反応により炎症を起こし骨が溶けます。これを根尖病巣と呼びます。根尖病巣は一種の歯周病であり、痛みが出にくいため放置されることが非常に多いです。そのままにしておくと、根の先の骨が大きく溶けつづけ、抜歯に至ることになります。

それを防ぐためには、感染源である根管の細菌を取り除き感染を止めることで、骨が再生する環境を作ってあげる必要があります。それが根管治療の目的となります。

その環境ができたら速やかに、しっかりと消毒をしたうえで根管を密に充填いたします。最終の土台やかぶせものの隙間から細菌が侵入しても密な根管充填が細菌の再侵入を遅らせてくれます。

 

難症例にも対応 歯根端切除術・意図的再植術

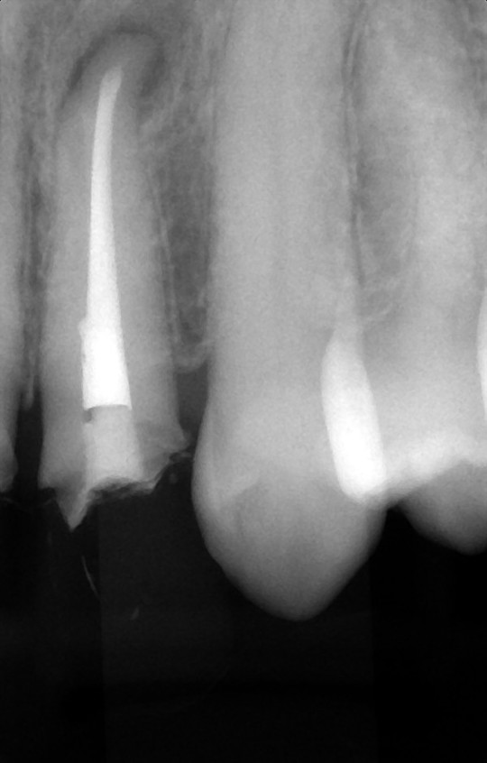
根の先の骨の感染が治らない状態

歯根端切除術・MTA充填直後

術後1年2か月
骨は順調に回復中

根管治療でなかなか根尖病巣が治癒しない、再発を繰り返す、など難治性の根管治療と呼ばれる状態になってしまうことがあります。その場合に、局所麻酔下で外科的に根尖病巣にアプローチして、治す方法があります。

『歯根端切除術』は歯ぐきを剥離して、感染している根尖病巣と根の先端を切除したうえで、根の切断面の根管からMTAという材料を充填する方法です。感染部分を直接きれいにすることができるのに加えて、MTA(アルカリ性の水硬性セメント)の作用で、持続的な殺菌と骨を作る細胞への刺激が期待できます。上手く経過すると、一回の外科処置で、完全に根の先の骨が再生します。

『意図的再植術』は一度歯を抜歯し、感染している根尖病巣と根の先端を清掃し、MTAを充填したうえで、再び歯をもとの位置に戻して固定する方法です。行っていることの本質は『歯根端切除術』と同じです。

二つの方法は状況に応じて使い分けます。まずは徹底した非外科の根管治療を行うことが前提ですが、どうしてもうまくいかない場合に、抜歯の前にこういった方法をとることも可能です。

※保険外診療です

 

歯根端切除術 77,000円(税込)
意図的再植術 77,000円(税込)

根管治療の流れ

虫歯・根尖病巣の検査

検査器具やレントゲンで、根尖病巣の進行度合いを調べます。

治療計画の説明

根尖病巣がどんな状態なのかをご説明し、治療計画をご案内します。

虫歯の部分を取り除く

必要に応じて根管治療を行います。

詰め物や被せ物を装着

根管治療終了後、詰め物や被せ物を装着します。矯正歯科の前処置として行う場合は仮のものになることがあります。

再発予防

虫歯や根尖病巣を再発させないために、定期検診や歯のクリーニングを受けることをおすすめします。

パソコン|モバイル
ページトップに戻る