調布の矯正歯科なら 調布・柴崎駅の歯医者

〒182-0007 東京都調布市菊野台1丁目20-39メゾン内田1F
京王線 柴崎駅北口より徒歩2分

診療時間
10:00~13:00 × ×
14:00~18:00 × ×

△:14:00~17:00 休診:水・日・祝

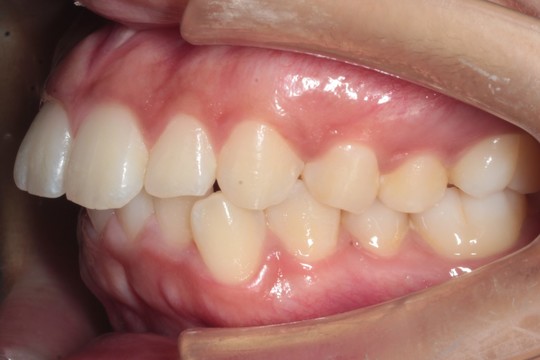
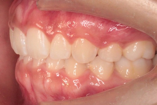
上顎前突(出っ歯) 抜歯矯正

治療前

治療後

治療前横顔
治療後横顔

個人の症例です

治療結果/期間/費用には個人差あります

⇩治療計画(クリンチェック)動画⇩

『上顎前突(じょうがくぜんとつ)』は

前歯が前に突出している、出っ歯とよく言われる歯並びです

横顔でも口元が突出することが多く

気にされている方がとても多い歯並びでもあります

治療前後写真について

 調布市の10代女性

 主訴:上の前歯を引っ込めたい 口元の突出とシワをとりたい

 使用装置:インビザライン

 治療期間:約2年

 治療費用:93.5万円(税込)

 治療結果:上顎前突が改善されました 口元の過緊張が改善しました

上顎前突の治療には

4本抜歯して前歯を下げるスペースを得る『抜歯矯正』

抜歯しないでスペースを得る『非抜歯矯正』

の2通りの治療法があります

今回は抜歯矯正の症例です

小臼歯と呼ばれる前から4番目の歯を抜歯することで

1本につき約7,8㎜程度のスペースが生まれます

(左右抜歯することで15㎜前後)

前歯を下げられる量は

抜歯矯正>非抜歯矯正

となります

矯正前の精密検査時の診断にて

どちらの方法も対応できるとなることが多くありますが

その際は、両方でシミュレーションをして

前歯をどこまで下げるのかをもとに方針を決定します

今回は横顔改善がメインのご希望でしたので

抜歯矯正を選択となります

しっかり治療イメージを共有して進めた結果、ご本人のご希望通り

大きく前歯を下げることができました

またそれに伴い、前歯が突出することで起きる

口元やオトガイ(下の顎先)部の緊張状態によるシワ

も改善できました

かみ合わせがしっかりすると、口元の緊張もとれることがあります

インビザラインでは抜歯矯正できないと聞きましたが…?

いいえ、そんなことはありません。ただし、難易度が高い治療法ではあるので、経験が豊富な歯科医師でないと行えないのは間違いありません。各種講習会では、十分な経験を積んでから行うように推奨されています。また、ほかのマウスピースシステムにおいては、基本的に公式に『抜歯矯正はNG』としているシステムが多いです。

治療名:マウスピース型装置を使用した矯正治療
リスク・副作用:歯磨き等のセルフケアを怠ると虫歯や歯周病のリスクが高くなります。装着時間を守らないと計画通りに歯が動かない、治療期間が延びる場合があります。矯正治療が完了した後は後戻りを防ぐために保定装置を正しく使用しないと再度矯正治療が必要になる可能性があります。歯と顎のバランスによってはご自身の歯を削る場合があります(削る量は個人差があります)。まれに歯の根が短くなる場合があります。装置装着後、痛みを感じることがあります(歯が動く正常な反応なので心配ありません)。

パソコン|モバイル
ページトップに戻る