調布の矯正歯科なら 調布・柴崎駅の歯医者

〒182-0007 東京都調布市菊野台1丁目20-39メゾン内田1F
京王線 柴崎駅北口より徒歩2分

診療時間
10:00~13:00 × ×
14:00~18:00 × ×

△:14:00~17:00 休診:水・日・祝

上下顎前突(口ゴボ) 抜歯矯正

治療前(Eライン付き)

治療後(Eライン付き)

個人の症例です

治療結果/期間/費用には個人差あります

⇩治療計画(クリンチェック)動画⇩

『上下顎前突(じょうげがくぜんとつ)』は

上下前歯が前に突出している、口ゴボとよく言われる歯並びです

横顔でも口元が突出することが多く

気にされている方がとても多い歯並びでもあります

治療前後写真について

 調布市の20代女性

 主訴:口元を下げたい

 使用装置:インビザライン

 治療期間:約3年

 治療費用:93.5万円(税込)

 治療結果:上下顎前突が改善されました

※治療前の歯並びの正面写真ものせておきますが、上下顎前突では一見悪い歯並びに見えないことも多くあります。

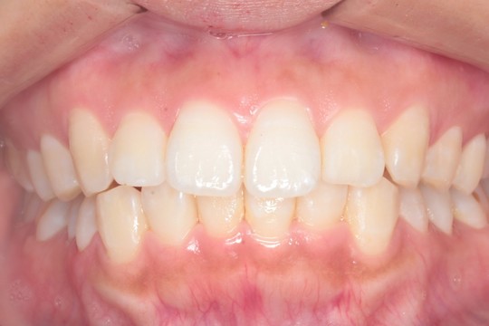
治療前正面歯並び

正面からの歯並びはきれいに見えます

上下顎前突の治療には

4本抜歯して前歯を下げるスペースを得る『抜歯矯正』

を行うことが多くなります

非抜歯矯正では少ししか下げられません

小臼歯と呼ばれる前から4番目の歯を抜歯することで

1本につき約7,8㎜程度のスペースが生まれます

(左右抜歯することで15㎜前後)

前歯を下げられる量は

抜歯矯正>非抜歯矯正

となります

この患者さまの実際の歯並びをスキャンしたデータから

治療前後でどれくらい下がるかをわかりやすいように下にのせてみました

これだけ下がると口元も大きく変わります

(冒頭のクリンチェック動画と見比べると良いかと思います)

上の歯並び前後比較

治療前の歯並びのうち左右4番目の歯を抜歯して前歯を下げました

下の歯並び前後比較

治療前の歯並びのうち左右4番目の歯を抜歯して前歯を下げました

インビザラインでは抜歯矯正できないと聞きましたが…?

いいえ、そんなことはありません。ただし、難易度が高い治療法ではあるので、経験が豊富な歯科医師でないと行えないのは間違いありません。各種講習会では、十分な経験を積んでから行うように推奨されています。また、ほかのマウスピースシステムにおいては、基本的に公式に『抜歯矯正はNG』としているシステムが多いです。

治療名:マウスピース型装置を使用した矯正治療
リスク・副作用:歯磨き等のセルフケアを怠ると虫歯や歯周病のリスクが高くなります。装着時間を守らないと計画通りに歯が動かない、治療期間が延びる場合があります。矯正治療が完了した後は後戻りを防ぐために保定装置を正しく使用しないと再度矯正治療が必要になる可能性があります。歯と顎のバランスによってはご自身の歯を削る場合があります(削る量は個人差があります)。まれに歯の根が短くなる場合があります。装置装着後、痛みを感じることがあります(歯が動く正常な反応なので心配ありません)。

パソコン|モバイル
ページトップに戻る