調布の矯正歯科なら 調布・柴崎駅の歯医者

〒182-0007 東京都調布市菊野台1丁目20-39メゾン内田1F
京王線 柴崎駅北口より徒歩2分

診療時間
10:00~13:00 × ×
14:00~18:00 × ×

△:14:00~17:00 休診:水・日・祝

過蓋咬合(ディープバイト) 非抜歯矯正

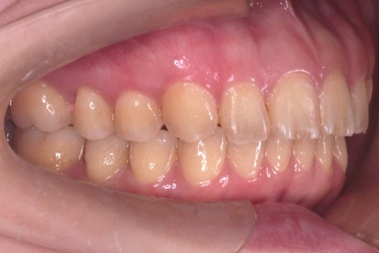
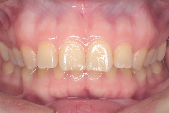
治療前

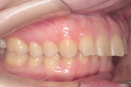
治療後

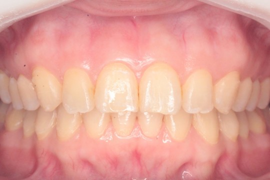
治療前

治療後

個人の症例です

治療結果/期間/費用には個人差あります

⇩治療計画(クリンチェック)動画⇩

『過蓋咬合(かがいこうごう)』は

下前歯が上前歯の裏側に深く咬み込んでいる状態の歯並びを指します

ディープバイトとも呼ばれます

過蓋咬合とよく併発するのが

『上顎前突(じょうがくぜんとつ)』です

いわゆる出っ歯とよく呼ばれる歯並びです

治療前後写真について

 調布市の20代女性

 主訴:前歯を引っ込めたい

 使用装置:インビザライン

 治療期間:約2.5年

 治療費用:93.5万円(税込)

 治療結果:過蓋咬合と上顎前突が改善されました

過蓋咬合の治療は

通常非抜歯矯正で行います

治療のポイントとなるのは

①奥歯の挺出(ていしゅつ):引っ張り出すこと

②前歯の圧下(あっか):中に押し込むこと

で、治療の難易度としては

『開咬』と並び

高難易度の歯並びとされています

過蓋咬合の方はあごの咬む力が強い方がほとんどで

奥歯を挺出させ、しっかりしたかみ合わせを確保することが治療の大きなポイントです

その状態で前歯を押し込んで圧下させます

その際に上の前歯は後ろに移動させることで

前突も解消していきます

上の動画をご覧になっていただくとよくわかると思います

圧下がうまくいかないときは

『アンカー』というものを使用することもありますが

この患者さまには不要でした

アンカーによる前歯の圧下(別の患者さま)

とても怖い感じがすると思いますが、設置も撤去も軽い麻酔でできてしまいます。処置時間も10分程度です。痛みが出ることもほとんどないです。設置前にはCTレントゲンで内部まで確認するため安全です。

 

治療名:マウスピース型装置を使用した矯正治療
リスク・副作用:歯磨き等のセルフケアを怠ると虫歯や歯周病のリスクが高くなります。装着時間を守らないと計画通りに歯が動かない、治療期間が延びる場合があります。矯正治療が完了した後は後戻りを防ぐために保定装置を正しく使用しないと再度矯正治療が必要になる可能性があります。歯と顎のバランスによってはご自身の歯を削る場合があります(削る量は個人差があります)。まれに歯の根が短くなる場合があります。装置装着後、痛みを感じることがあります(歯が動く正常な反応なので心配ありません)。

パソコン|モバイル
ページトップに戻る