調布の矯正歯科なら 調布・柴崎駅の歯医者

〒182-0007 東京都調布市菊野台1丁目20-39メゾン内田1F
京王線 柴崎駅北口より徒歩2分

診療時間
10:00~13:00 × ×
14:00~18:00 × ×

△:14:00~17:00 休診:水・日・祝

開咬(オープンバイト) 非抜歯矯正

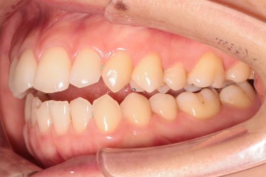
治療前

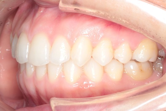
治療後

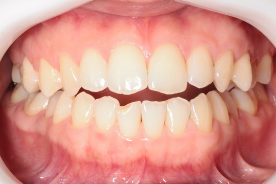
治療前

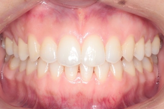
治療後

個人の症例です

治療結果/期間/費用には個人差あります

⇩治療計画(クリンチェック)動画⇩

『開咬(かいこう)』は

前歯がかみ合わない歯並びを指します

オープンバイトとも呼ばれます

治療前後写真について

 調布市の20代女性

 主訴:前歯で咬めない

 使用装置:インビザライン

 治療期間:約2年

 治療費用:93.5万円(税込)

 治療結果:開咬が改善されました

①よりも難しいケースとなります

難しい理由として

・前歯だけでなく上下小臼歯(前から4,5番目)の接触も少ない

・その上下小臼歯に上下の関係が一部反対になる交叉咬合(クロスバイト)も併発している

こういったことがあり改善に少し苦労しました

何度か治療計画を立て直し、治療終了に至りました

 

治療は①と同じく通常非抜歯矯正で行います

以下①と同内容です

治療のポイントとなるのは

①奥歯の圧下(あっか)

②前歯の挺出(ていしゅつ)

③MFT(口腔筋機能療法)

で、治療の難易度としては

『過蓋咬合』と並び

高難易度の歯並びとされています

特に①奥歯の圧下は

ワイヤー矯正では至難の業と言えますが

インビザラインシステムではこの圧下が比較的容易にできます

そのため、②の前歯の挺出で前歯の上下スペースを閉じやすくなります

また、そもそもの開咬の原因として

『長い間上下の前歯間に何かがはさまっていて、そのスペース分あいた歯並びになってしまう』

ということが考えられます

にわかには信じがたいかもしれませんが

何を長い年月をかけてずっと前歯に挟んでいるかというと

唇・舌・楽器

のいずれかが大半を占めます

前歯ではさむ楽器を行っていない場合は

唇や舌の癖(悪習癖)をトレーニングで除く必要があります

それが③MFT(口腔筋機能療法)です

適切に行うことで

治療結果が良くなり、後戻りの防止にも役立ちます

MFTの資料

ごく一部ですが、当院でのMFTの際に使用しているオリジナルの資料です。動画なども用意しております。MFTを行うのは開咬に限ったことではなく、多くの患者様で行っております。

 

治療名:マウスピース型装置を使用した矯正治療
リスク・副作用:歯磨き等のセルフケアを怠ると虫歯や歯周病のリスクが高くなります。装着時間を守らないと計画通りに歯が動かない、治療期間が延びる場合があります。矯正治療が完了した後は後戻りを防ぐために保定装置を正しく使用しないと再度矯正治療が必要になる可能性があります。歯と顎のバランスによってはご自身の歯を削る場合があります(削る量は個人差があります)。まれに歯の根が短くなる場合があります。装置装着後、痛みを感じることがあります(歯が動く正常な反応なので心配ありません)。

パソコン|モバイル
ページトップに戻る