調布の矯正歯科なら 調布・柴崎駅の歯医者

〒182-0007 東京都調布市菊野台1丁目20-39メゾン内田1F
京王線 柴崎駅北口より徒歩2分

診療時間
10:00~13:00 × ×
14:00~18:00 × ×

△:14:00~17:00 休診:水・日・祝

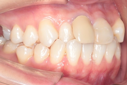
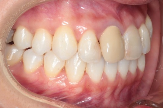
交叉咬合(クロスバイト) 非抜歯矯正

治療前

治療後

個人の症例です

治療結果/期間/費用には個人差あります

⇩治療計画(クリンチェック)動画⇩

『交叉咬合(こうさこうごう)』は

上下の歯の関係が一部反対になっている状態の歯並びです

クロスバイトとも呼ばれます

治療前後写真について

 調布市の20代女性

 主訴:歯並びをきれいにしたい

 使用装置:インビザライン

 治療期間:約2年

 治療費用:93.5万円(税込)

 治療結果:交叉咬合と叢生が改善されました

交叉咬合は叢生(そうせい:歯のデコボコ)を伴っていることが多くなります

このケースは右前歯から奥にかけて上下の歯が反対の関係になっていました

あごが左右に偏位(へんい:ズレること)することも多く

機能的にも問題になることがあります

交叉咬合の治療で重要なのは

反対関係の歯を正常関係に戻すときに

上下の歯が接触していると

動きが阻害されてなかなか正常関係にいかない

ということです

ワイヤー矯正ではこの問題がたびたび起こります

マウスピース矯正では

歯を装置が覆っているので

上下が接触することは物理的にあり得ません

そのため、上下の接触による動きの阻害を考える必要がなく

マウスピース矯正が得意な症例の一つに挙げられると思います

特段の問題もなく最終的にはしっかりと

上下正常関係のかみ合わせを作ることができました

 

治療名:マウスピース型装置を使用した矯正治療
リスク・副作用:歯磨き等のセルフケアを怠ると虫歯や歯周病のリスクが高くなります。装着時間を守らないと計画通りに歯が動かない、治療期間が延びる場合があります。矯正治療が完了した後は後戻りを防ぐために保定装置を正しく使用しないと再度矯正治療が必要になる可能性があります。歯と顎のバランスによってはご自身の歯を削る場合があります(削る量は個人差があります)。まれに歯の根が短くなる場合があります。装置装着後、痛みを感じることがあります(歯が動く正常な反応なので心配ありません)。

パソコン|モバイル
ページトップに戻る