調布の矯正歯科なら 調布・柴崎駅の歯医者

〒182-0007 東京都調布市菊野台1丁目20-39メゾン内田1F
京王線 柴崎駅北口より徒歩2分

診療時間
10:00~13:00 × ×
14:00~18:00 × ×

△:14:00~17:00 休診:水・日・祝

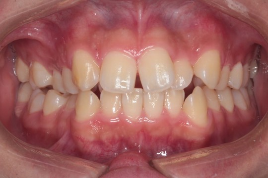
重度叢生併発 交叉咬合(クロスバイト) 非抜歯矯正

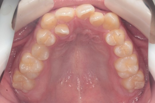
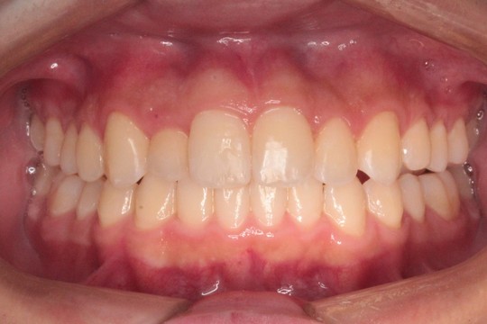
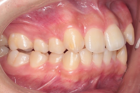
治療前
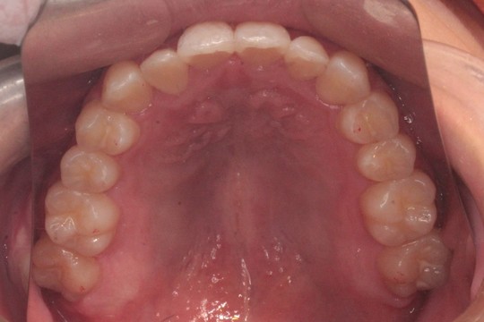
治療後
治療前
治療後
治療前
治療後

個人の症例です

治療結果/期間/費用には個人差あります

⇩治療計画(クリンチェック)動画⇩

今回はかなりの難症例です

また、後述しますが

安全に治療を行う上で、仕上がりに限界を設ける必要のあった症例でもあります

交叉咬合と重度叢生を非抜歯のインビザラインで治療しました

上のクリンチェック(治療計画)も2段階に分かれています

『交叉咬合(こうさこうごう)』は

上下の歯の関係が一部反対になっている状態の歯並びです

クロスバイトとも呼ばれます 今回は右の5番目あたり(向かって左側)に起きています

『叢生(そうせい)』は

草むらを表す『叢(そう)』のように込み入った歯並びを指します

日本人に多い、前歯がデコボコした歯並びです

治療前後写真について

 調布市の20代男性

 主訴:歯並びをきれいにしたい

 使用装置:インビザライン

 治療期間:約3年

 治療費用:93.5万円(税込)

 治療結果:交叉咬合と叢生が改善されました

このレベルの叢生であれば、誰しも抜歯矯正を考えると思います

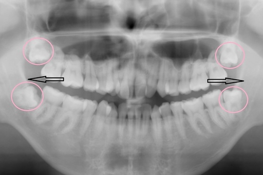
しかし今回は、抜歯矯正を行うと後のかみ合わせなどのリスクが高く感じたため

親知らずの抜歯にとどめ、奥歯をそのスペースに送ることで

前歯が収まるスペースを得ることを考えました

下のレントゲンにイメージを図示しています

もう一つ大きな注意点があります

初診時に大きく中に入っていた上の右2番目(向かって左側2番目)の前歯

これを理想と思われる位置にもっていきたかったのですが

初診時のCT(3Dのレントゲン)を細かく分析すると

理想の位置に移動させてしまうと

最悪歯が骨から抜けてしまい抜歯に至る可能性がありました

(専門用語でフェネストレーションといいます)

矯正治療をしたことで抜歯に至るというのは本末転倒です

今回は理想の位置よりもわずかに中に入った位置で矯正終了となることを

事前に患者さまにご了承いただいてからスタートしております

現在ではCTとクリンチェックを結合することができるので

もっとわかりやすく確認できるようになっていますが

下にCTの画像を載せておきます

〇部分が骨がないところ 矢印の歯を理想の位置までは動かせません

治療名:マウスピース型装置を使用した矯正治療
リスク・副作用:歯磨き等のセルフケアを怠ると虫歯や歯周病のリスクが高くなります。装着時間を守らないと計画通りに歯が動かない、治療期間が延びる場合があります。矯正治療が完了した後は後戻りを防ぐために保定装置を正しく使用しないと再度矯正治療が必要になる可能性があります。歯と顎のバランスによってはご自身の歯を削る場合があります(削る量は個人差があります)。まれに歯の根が短くなる場合があります。装置装着後、痛みを感じることがあります(歯が動く正常な反応なので心配ありません)。

パソコン|モバイル
ページトップに戻る