調布の矯正歯科なら 調布・柴崎駅の歯医者

〒182-0007 東京都調布市菊野台1丁目20-39メゾン内田1F
京王線 柴崎駅北口より徒歩2分

診療時間
10:00~13:00 × ×
14:00~18:00 × ×

△:14:00~17:00 休診:水・日・祝

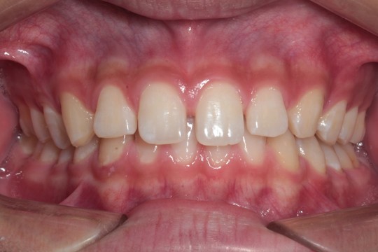
空隙歯列(すきっ歯) 非抜歯矯正

治療前

治療後

個人の症例です

治療結果/期間/費用には個人差あります

⇩治療計画(クリンチェック)動画⇩

『空隙歯列(くうげきしれつ)』は

歯間にすきまがある歯並びを指します

すきっ歯とよく言われる歯並びです

治療前後写真について

 調布市の10代男性

 主訴:歯と歯の間のすきまが気になる

 使用装置:インビザライン

 治療期間:約1.2年

 治療費用:93.5万円(税込)

 治療結果:空隙歯列が改善されました

空隙歯列の治療は

通常非抜歯矯正で行います

一見するとすきまを閉じるだけで易しそうに見えるかと思います

単純にすきまを閉じようとすると

ほかにすきまが新たに生まれてしまうので

そこをどう処理するかがポイントとなります

もし今回のケースで

前歯のすきまを閉じて、奥のほうにすきまを残す

といったような治療を行った場合

かなり上顎前突(出っ歯)の状態で仕上げることになります

そうならないようにするため

奥歯のかみ合わせを挙上(バイトアップ)しながら

前歯のすきまを閉じる

という方針が必要となります

決して高難易度というわけではないですが

前歯のすきまだけ閉じればいい

と簡単に考えていた場合は

驚かれる患者さまが多いかもしれません

治療名:マウスピース型装置を使用した矯正治療
リスク・副作用:歯磨き等のセルフケアを怠ると虫歯や歯周病のリスクが高くなります。装着時間を守らないと計画通りに歯が動かない、治療期間が延びる場合があります。矯正治療が完了した後は後戻りを防ぐために保定装置を正しく使用しないと再度矯正治療が必要になる可能性があります。歯と顎のバランスによってはご自身の歯を削る場合があります(削る量は個人差があります)。まれに歯の根が短くなる場合があります。装置装着後、痛みを感じることがあります(歯が動く正常な反応なので心配ありません)。

パソコン|モバイル
ページトップに戻る