調布の矯正歯科なら 調布・柴崎駅の歯医者

〒182-0007 東京都調布市菊野台1丁目20-39メゾン内田1F
京王線 柴崎駅北口より徒歩2分

診療時間
10:00~13:00 × ×
14:00~18:00 × ×

△:14:00~17:00 休診:水・日・祝

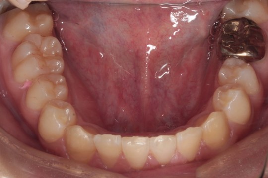
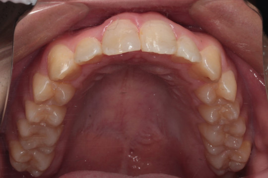
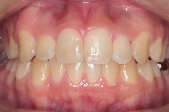
叢生(前歯のデコボコ) 非抜歯矯正

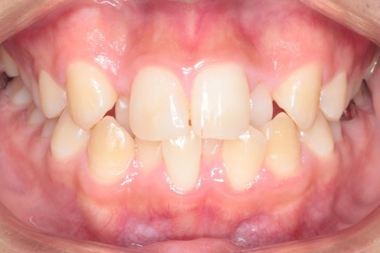
正面 治療前
正面 治療後
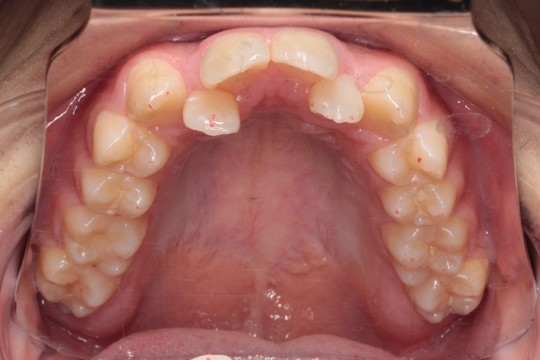
上顎 治療前
上顎 治療後
下顎 治療前
下顎 治療後

個人の症例です

治療結果/期間/費用には個人差あります

⇩治療計画(クリンチェック)動画⇩

『叢生(そうせい)』は

草むらを表す『叢(そう)』のように込み入った歯並びを指します

日本人に多い、前歯がデコボコした歯並びです

治療前後写真について

 調布市の20代男性

 主訴:前歯のデコボコを直したい

 使用装置:インビザライン

 治療期間:約2年

 治療費用:93.5万円(税込)

 治療結果:叢生が改善されました

叢生の治療には

4本抜歯して並べるスペースを得る『抜歯矯正』

抜歯しないでスペースを得る『非抜歯矯正』

の2通りの治療法があります

今回の症例は写真のように上の中心から2番目の歯が左右とも奥に入り込んでいてかなりスペースのない状態でした

ワイヤー矯正では十中八九『抜歯矯正』の診断が下ると思います

こういった症例を非抜歯で並べる、というと必ずと言っていいほど

『ゴリラ(サル)顔になる』『出っ歯(口ゴボ)になる』といった感じで言われてしまいます・・・

要はスペースもないのに並べるには前方に押し出しながら無理やり並べることになるので

口元がモコっと前に突出してしまう様子を言ってるのです(サルの顔物まねをイメージしてください・・・)

にもかかわらず今回は非抜歯矯正での対応となります

この診断は

患者さまがどうしても抜かずにやってほしいと主張されたわけでも

当院の抜歯矯正のスキルが未熟なわけでもなく

非抜歯矯正で十分に並べられるという確信の元で行っております

非抜歯矯正では並べるスペースを得るのに

①遠心移動②IPR という2つのテクニックを用います

インビザラインは

遠心移動が得意で、IPRと相性が良い、です

抜歯矯正ほどの並べるスペースを得ることはできませんが

抜歯しなくてもいい症例を多く生むことができます

ちなみにIPRで得られるスペースは最大で5㎜程度です

遠心移動で得られるスペースは個人差でかわります

ほとんどできない方もいれば、かなりできる方(最大10㎜程度)もいます

診断はレントゲン(CT含む)、お口の状態で総合的に行っています

①遠心移動=奥歯をさらに奥へ

動画のように、インビザラインでは『遠心移動』がかなりやりやすくなります。ワイヤー矯正でもできなくはないですが、かなり難しいテクニックを必要とします。そのため、ワイヤー矯正では抜歯矯正が選択されやすくなります。インビザラインでは、この特性により非抜歯による矯正が可能になることが大きく増えます。

 

②IPRとは?

動画のようにIPRとは、薄く歯間を削り、スペースを得る方法です(1か所最大0.5㎜)。きちんと処理をすれば、痛みも害も出ません。むしろ、歯が強化されて虫歯になりにくくなる、という研究データすらあります。

IPR

マウスピース矯正で抜歯矯正をすることはない?

いいえ、そうではありません。抜歯で得られるスペースが1本抜歯あたりおよそ7,8㎜程度あります。左右で1本ずつ抜歯を行うと、15㎜前後もの大きなスペースが得られます。通常遠心移動とIPRではそこまでのスペースを得ることは不可能です。そのため、インビザラインにおいても抜歯矯正を選択することがあります。しかし、適切な診断をすることで抜歯矯正を避けられる、というのは確実にあるため、抜歯以外にスペースを得る方法が確立されているのはインビザラインにとって、大きな優位性と言えます。

治療名:マウスピース型装置を使用した矯正治療
リスク・副作用:歯磨き等のセルフケアを怠ると虫歯や歯周病のリスクが高くなります。装着時間を守らないと計画通りに歯が動かない、治療期間が延びる場合があります。矯正治療が完了した後は後戻りを防ぐために保定装置を正しく使用しないと再度矯正治療が必要になる可能性があります。歯と顎のバランスによってはご自身の歯を削る場合があります(削る量は個人差があります)。まれに歯の根が短くなる場合があります。装置装着後、痛みを感じることがあります(歯が動く正常な反応なので心配ありません)。

パソコン|モバイル
ページトップに戻る