調布の矯正歯科なら 調布・柴崎駅の歯医者

〒182-0007 東京都調布市菊野台1丁目20-39メゾン内田1F
京王線 柴崎駅北口より徒歩2分

診療時間
10:00~13:00 × ×
14:00~18:00 × ×

△:14:00~17:00 休診:水・日・祝

ご予約・お問合せはこちら

042-452-8548

矯正歯科で使用する様々なレントゲン 2025.8

矯正歯科において重要なレントゲンがいくつかあります

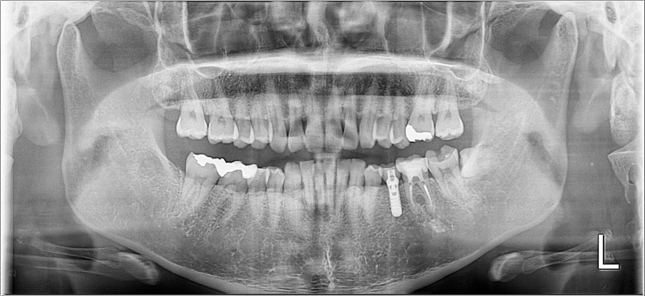
①オルソパントモグラフィー(パノラマ/パントモ)

②セファログラム/頭部X線規格写真(セファロ)

③歯科用コーンビームコンピュータ断層撮影(CT)

※③はインビザラインシステム等の一部のマウスピース矯正のみ

ちなみにどのレントゲンシステムも

新しいものは完全にデジタル化されており

それに伴い被ばく量もかなり軽減されています

それぞれ説明したいと思います

①パノラマ

パノラマは歯列矯正以外の治療でも必須のレントゲンです

事前に撮影することで

虫歯や歯周病、根の状態、顎関節、親知らずや上顎洞(副鼻腔)

安全に治療できるか、事前にやっておくことはないか

をチェックしています

矯正歯科にかかわらず、どこの医院でも撮影している

とても重要なレントゲンです

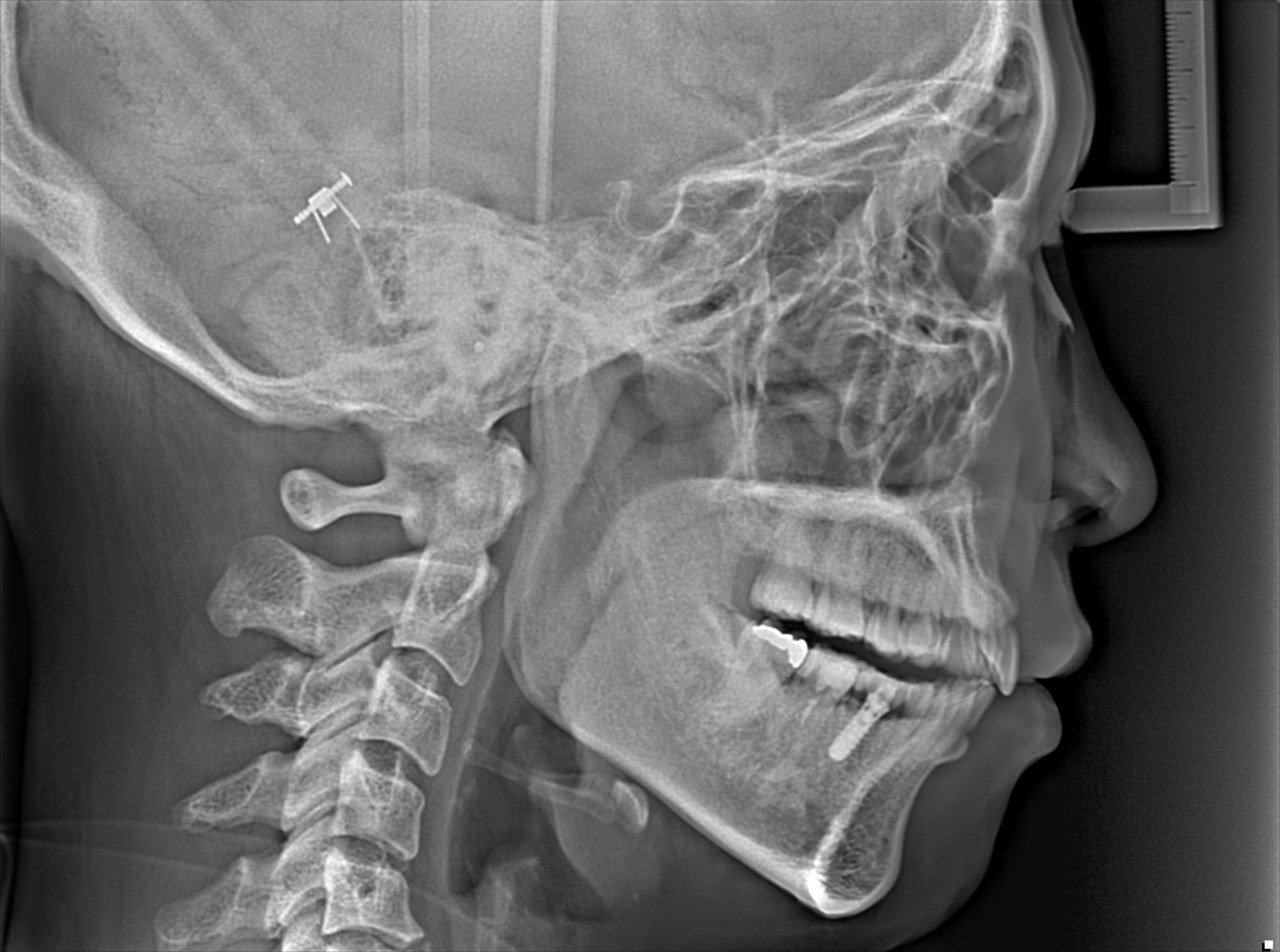
②セファロ

正面
側方

セファロは矯正歯科特有のレントゲンです

正式には『頭部X線規格写真』といいます

撮影する条件が決まっており

名前にあるように『規格』化されています

そのため事前にレントゲン上で角度計測などを行い

歯列矯正後にその角度などを比較することもできます

特に側方のセファロを利用すると

横顔の改善(前歯の前突、口元の突出など)

をデジタルシミュレーションすることも可能です

⇩歯列矯正による口元突出改善 1→3

⇩治療前のシミュレーション 1→2(側方セファロ利用)

1.治療前 横顔
2.治療前 シミュレーション
3.治療後 横顔

③CT

立体のレントゲン

 

CTは3次元(3D:立体)のレントゲンです

もともとは矯正歯科で使用するものではありませんでした

当院でもインプラント治療やそのほかの手術、根の治療などに役立ててきました

それが2023年より

インビザラインシステムに組み込むことができるようになりました

それまで多少の参考程度しか考慮することができなかった

歯根やそれを支える骨(上顎骨と下顎骨)

の状態も完璧に把握することが可能になりました

特に

骨の形態は基本的には変えられません

どんな矯正方法であっても

歯は骨があるところにしか並べることができないのです

骨がないところに配置するような力をかけてしまうと

歯は骨から離脱することになります

すなわち矯正をすることで抜歯状態に近くなるということです

CTを組み合わせると

歯を動かせる範囲が完璧にわかります

安全性と確実性が大きく向上した、と言えます

私たちにおいても、CTのあるなしでは

計画を立てる際の安心感

が全く違います

現状、CTを矯正に組み込むことができるのは

デジタル計画を立てることができるシステムのごく一部

となっています

ワイヤー矯正はアナログなものですので

マウスピース矯正システムのごく一部となります

⇩CTを組み込んでいるものといないものの治療計画を動画化しています

調布で矯正歯科をお探しの方は当院にご相談ください

検診・歯石取り・歯のクリーニング・フッ素塗布などもご予約いただけます。3ヶ月先のご予約もお気軽にどうぞ。

042-452-8548

診療時間

 
午前 × ×
午後 × ×

午前:10:00~13:00
午後:14:00~18:00
△:土曜日は17:00まで

休診日:水曜日・日曜日・祝日
※祝日がある週は水曜平日診療